SciELO - Scientific Electronic Library Online

 
vol.89 número3Metástasis cardíacas por liposarcoma a ventrículo derecho complicado con embolismo tumoral pulmonar masivoUn trombo ventricular de origen desconocido índice de autoresíndice de materiabúsqueda de artículos
Home Pagelista alfabética de revistas  

Servicios Personalizados

Revista

Articulo

Indicadores

Links relacionados

  • No hay artículos similaresSimilares en SciELO

Compartir


Archivos de cardiología de México

versión On-line ISSN 1665-1731versión impresa ISSN 1405-9940

Arch. Cardiol. Méx. vol.89 no.3 Ciudad de México jul./sep. 2019  Epub 08-Ene-2021

https://doi.org/10.24875/acm.m19000041 

Cartas científicas

Fibrinólisis de baja dosis facilitada por ultrasonido dirigida por catéter en tromboembolismo pulmonar agudo. Reporte de un caso

Ultrasound-assisted catheter-directed low-dose thrombolysis for acute pulmonary embolism. Case report

Héctor H. Escutia-Cuevas1  * 

Marco A. Alcántara-Meléndez1 

Paulette M. Fuentes-Espinosa1 

Guillermo Orozco-Guerra1 

Alvaro D. Rentería-Valencia1 

Ronald E. Rivas-Gálvez2 

Manuel A. Espinoza-Rueda2 

Robinsson J. Vásquez-Orozco2 

Hiram Vela-Vizcaíno2 

1Servicio de Cardiología Intervencionista. Ciudad de México, México

2División de Cardiología. Centro Médico Nacional 20 de Noviembre, Instituto de Seguridad y Servicios Sociales de los Trabajadores del Estado (ISSSTE). Ciudad de México, México


La tromboembolia pulmonar (TEP) es una de las principales causas de morbilidad y mortalidad en todo el mundo. La incidencia anual de TEP es de aproximadamente 600,000 casos, y hay de 100,000 a 180,000 muertes relacionadas, por lo que es la principal causa prevenible de muerte entre pacientes hospitalizados1. La tasa de mortalidad a 30 días de pacientes con TEP que desarrollan choque cardiogénico oscila entre el 16 y el 25%, y en los pacientes que sufrieron paro cardíaco, entre el 52 y el 65%2.

En cuanto a la clasificación clínica, se puede hacer una división entre TEP masiva o de alto riesgo y submasiva o de riesgo intermedio. En cuanto al embolismo pulmonar masivo, se caracteriza por inestabilidad hemodinámica, y es un padecimiento con alta mortalidad asociada, hasta tres veces superior en comparación con los pacientes que permanecen hemodinámicamente estables. Esta condición actualmente se define por la presencia de hipotensión arterial con presión sistólica (PAS) menor 90 mmHg durante más de 15 minutos o bien la necesidad de soporte inotrópico para mantener la PAS por encima de 90 mmHg. El embolismo pulmonar submasivo, o de riesgo intermedio, se define por PAS mayor 90 mmHg con evidencia de disfunción del corazón derecho (ventrículo derecho [VD] dilatado y con una proporción de VD a ventrículo izquierdo [VI] >0.9 en la vista de 4 cámaras por tomografía o ecocardiograma) y biomarcadores elevados, como troponina o péptido natriurítico B. Presentan un riesgo alto de evolución de la enfermedad si no se tratan de manera oportuna3.

La angiografía pulmonar por tomografía computarizada permite, no solo la visualización adecuada de la tromboembolia pulmonar hasta el nivel segmentario, sino también la visualización del VD como indicador de su disfunción. La ecocardiografía es una alternativa diagnóstica aceptable, aunque generalmente no proporciona un diagnóstico definitivo ni excluye la TEP, sí puede confirmar o excluir la sobrecarga y la disfunción grave del VD2.

Actualmente, las escalas de estratificación a manera de scores, como el índice de gravedad del embolismo pulmonar (PESI), el score de Wells o el score de Ginebra, son de gran ayuda, junto con los hallazgos hemodinámicos e imagenológicos, para clasificar al paciente según su riesgo de mortalidad.3.

La estrategia de tratamiento óptimo continúa siendo un motivo de controversia, debido a que la mortalidad de la TEP es comparable con la del infarto agudo de miocardio, sin que haya sido posible alcanzar una reducción de la mortalidad en las tres decadas pasadas4. Para los pacientes con inestabilidad hemodinámica secundaria a embolismo pulmonar masivo, el tratamiento de elección continúa siendo la fibrinólisis sistémica5. En los últimos años ha surgido nueva evidencia que indica que, tanto en embolismo masivo y submasivo, la trombólisis de baja dosis dirigida por catéter y asistida por ultrasonido es un tratamiento altamente efectivo que reduce la sobrecarga del VD y disminuye la presión pulmonar y la carga de trombo, sin aumentar el riesgo de hemorragia, cuando se le aúna al tratamiento con heparina6-8.

El tratamiento dirigido por catéter (TDC) se puede realizar como una alternativa a la trombólisis cuando un paciente tiene contraindicaciones absolutas para la fibrinólisis sistémica, posee un riesgo muy alto de hemorragia mayor, como terapia adjunta cuando la trombólisis no ha podido mejorar hemodinámica, o bien como una alternativa a la cirugía si el acceso inmediato no está disponible. El objetivo del TDC es eliminar las obstrucciones trombóticas de las principales arterias pulmonares para facilitar la mecánica del VD y mejorar así la supervivencia. La tasa de éxito clínico, definida como estabilización de parámetros hemodinámicos, resolución de la hipoxia y la supervivencia hasta el alta, fue del 87%9.

La experiencia en nuestro país con esta modalidad de tratamiento aún es limitada, con escasos reportes previos existentes. Por este motivo, y con el afín de continuar generando experiencia en este tema, exponemos aquí un caso clínico que ejemplifica el uso ideal del TDC en un paciente con TEP submasiva.

Reporte del caso

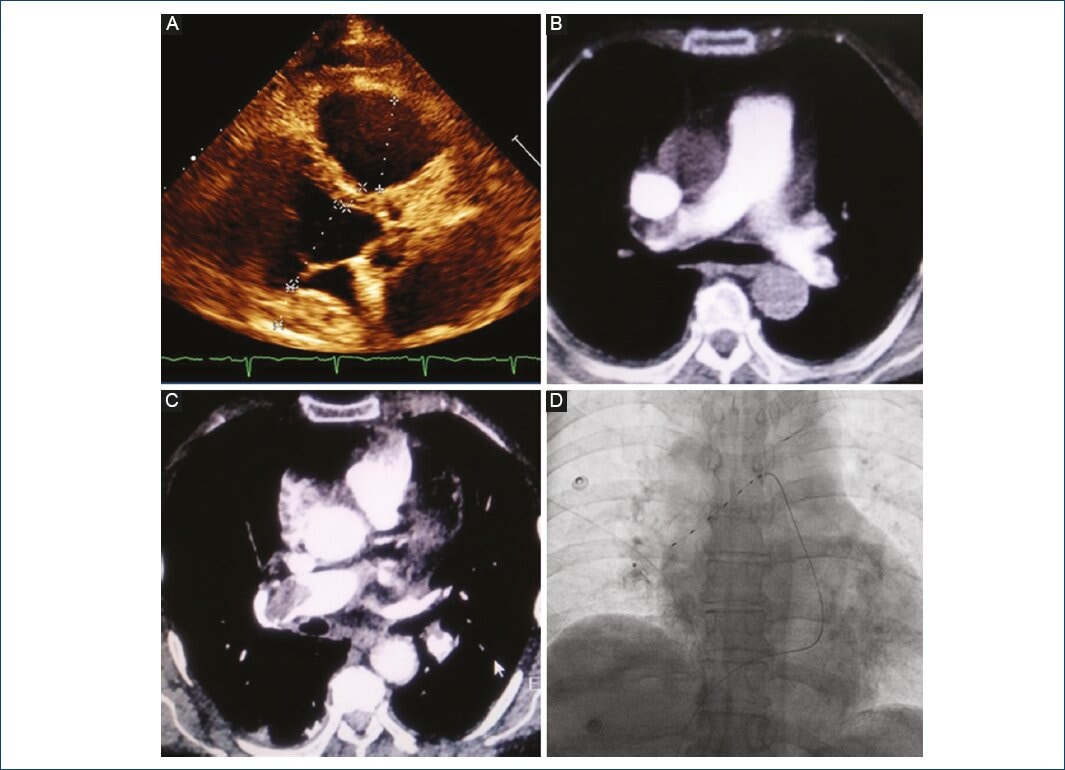
Paciente femenina de 78 años de edad, con antecedente de hipertensión arterial sistémica de larga data, así como un evento vascular cerebral isquémico 2 años antes, sin secuelas aparentes. Ingresó en el Servicio de Urgencias de nuestro centro por un cuadro de 6 minutos de duración de disnea súbita en reposo, acompañada de dolor precordial opresivo, diaforesis y náuseas. Bioquímicamente, presentaba elevación sérica de troponina I (130 pg/ml), y electrocardiográficamente, con infradesnivel del segmento ST en la pared inferior. Al examen físico se encontró somnolienta, presión arterial 95/60 mmHg, frecuencia cardíaca 130 lpm, frecuencia respiratoria 26 rpm, con saturación por oximetría de pulso de 82% al ambiente, ingurgitación yugular grado III, tórax simétrico sin estertores ni sibilancias, extremidades sin edema. Ecocardiograma transtorácico: VI con volumen telediastólico de 43 ml, volumen telesistólico de 21 ml, fracción de expulsión del 70%, sin alteraciones en la movilidad global o segmentarias en reposo; volumen auricular izquierdo de 30 ml/m2; válvula mitral sin regurgitación, válvula aúrtica trivalva, sin gradiente transvalvular significativo, sin insuficiencia; VD dilatado, con función sistólica severamente deprimida, desplazamiento sistólico del plano del anillo tricuspídeo (TAPSE) de 12 mm, onda S de 5 cm/s, fracción de acortamiento del 15%; aurícula derecha dilatada, sin trombos en su interior; válvula tricúspide estructuralmente normal, con déficit de coaptación que genera jet concéntrico de insuficiencia moderada, vena contracta de 5 mm, gradiente de regurgitación de 75 mmHg; se calcula una presión sistólica de la arteria pulmonar (PSAP) de 85 mmHg, proporción VD/VI de 0.98 (Fig. 1A). Se procede a realizar angiotomografía pulmonar en la que se encuentra el VD dilatado, proporción VD/VI de 0.99, así como defecto de llenado con oclusión total distal en la rama principal derecha de la arteria pulmonar (Figs. 1 B y C), lo que confirma el diagnostico de tromboembolismo pulmonar agudo submasivo (PESI score en clase V, de muy alto riesgo, mortalidad asociada del 10-24% en 30 días).

Figura 1 Fase diagnóstica de tromboembolia pulmonar y tratamiento. A: ecocardiograma transtorácico inicial, eje paraesternal largo, en el cual se observa dilatación del VD, proporción VD/VI de 0.98. B: angiotomografía pulmonar en corte axial, con defecto de llenado en la rama derecha de la arteria pulmonar que se extiende a ramas subsegmentarias. C: corte axial a nivel de T5 con mayor definición del defecto de llenado de la rama pulmonar derecha. D: resultado fluoroscópico final con sonda EKOS (BTG-IM, Bothell, Washington), colocada desde el segmento distal de la arteria lobar inferior derecha hasta la bifurcación del tronco pulmonar. 

Se inició anticoagulación con heparina no fraccionada (bolo intravenoso 80 UI/kg y después infusión continua hasta alcanzar de forma rápida y mantenida la prolongación del tiempo de activación parcial de tromboplastina [aPTT] entre 1.5 y 2.5 veces el control), y debido a la existencia de contraindicaciones relativas de trombólisis se decide no realizarla. Con el objetivo de evaluar el TDC se realizó cateterismo cardíaco derecho de urgencia, con angiografía pulmonar y toma de las presiones de las cavidades derechas, y se encontró: PSAP 90 mmHg, presión media de la arteria pulmonar (PMAP) 50 mmHg, con flujo lento e imagen nebulosa en la rama principal derecha, con ausencia de flujo distal en la rama pulmonar inferior derecha (Fig. 2 A), válvula pulmonar sin gradiente al trazo de retiro hacia el tracto de salida del VD.

Figura 2 Angiografía pulmonar previa y posterior al tratamiento. A: en proyección anteroposterior, se observa una imagen nebulosa (flecha) en la rama principal derecha con ausencia de flujo distal en ambas ramas subsegmentarias. B: angiografía pulmonar posterior al procedimiento, que muestra mejoría del flujo distal en las ramas subsegmentarias y desaparición de la imagen sugestiva de trombo en la rama principal derecha. 

Durante el mismo procedimiento se colocó una sonda EKOS Endovascular System (BTG-IM, Bothell, Washington) de la siguiente manera: mediante un introductor 6 French venoso en la vena femoral derecha, se procedió a avanzar una guía hidrofólica 0.035, a través de la cual se avanzó un catéter con curva multipropósito 5 Fr para realizar las mediciones de las cavidades anteriormente comentadas. Posteriormente, se realizó la angiografía pulmonar, ya comentada. Basándose en los hallazgos se avanzó la guía hidrofóica hacia la rama derecha y, despuús, a la arteria lobar inferior derecha; se hace un intercambio por la sonda EKOS y se deja colocada desde el segmento distal hasta la bifurcación del tronco pulmonar (Fig. 1 D); se corrobora el adecuado funcionamiento de la consola y la adecuada infusión de fármaco y refrigerante, dando por terminado el procedimiento, sin complicaciones.

Debido al alto riesgo de sangrado, se decidió iniciar una infusión continua de alteplasa a 1 mg/h durante 12 h. Posterior al retiro de la sonda EKOS con evidente mejoría hemodinámica. Ecocardiográficamente: VD con función sistólica conservada, TAPSE de 19, onda S de 10 cm/s, fracción de acortamiento del 45%; válvula tricúspide con déficit de coaptación que genera jet concéntrico de insuficiencia moderada, PSAP de 50 mmHg, proporción VD/VI de 0.78. A las 48 horas después del TDC se realizó angiografía de control y toma de presiones, y se encontró PSAP 48 mmHg, PMAP 30 mmHg, y con flujo distal normal en la rama derecha de la arteria pulmonar, sin imagen sugestiva de trombo (Fig. 2 B).

La paciente continuó en internamiento y observación hemodinámica durante 72 horas, dándose de alta asintomática y en clase funcional I del New York Heart Association para seguimiento ambulatorio con anticoagulación a base de rivaroxaban 20 mg al día. A los 2 meses de seguimiento continúa asintomática desde el punto de vista cardiovascular y sin nuevos eventos de embolismo.

Discusión

Para pacientes sin una contraindicación absoluta para la trombólisis sistémica puede considerarse el TDC, así como se realizó en este caso clínico. El ultrasonido de baja energía desagrega la fibrina dentro de los trombos agudos. Esto es aprovechado por el dispositivo EKOS (BTG-IM, Bothell, Washington), que combina la emisión de ultrasonido de baja energía y la infusión de un agente trombolítico mediante un catéter que contiene múltiples orificios laterales. Esta estrategia se evaluó en el ensayo ULTIMA7, que demostró superioridad a la anticoagulación sola para mejorar la hemodinámica sin un aumento significativo de las complicaciones hemorrágicas. El estudio SEATTLE II fue un ensayo multicéntrico de un solo grupo de TDC que demostró una mejoría de los índices hemodinámicos del VD en pacientes con TEP masiva y submasiva6. No hubo casos de hemorragia intracraneal; aunque se observaron 16 episodios de sangrado (1 GUSTO grave, 15 GUSTO moderado).

Dada la evidencia disponible del TDC en TEP aguda, el uso de una estrategia de TDC asistida por ultrasonido debe explorarse de forma altamente individualizada. Como se mostró en este caso, los pacientes con TEP aguda demostrada deben ser anticoagulados rápidamente con heparina no fraccionada intravenosa con un bolo de 80 UI/kg, seguido de una infusión continua10. Junto con la evaluación clínica y hemodinámica del paciente, se debe tomar una decisión individualizada con respecto a su idoneidad para la TDC. Una infusión continua de alteplasa a 1 mg/h en cada arteria pulmonar puede iniciarse mientras se observa al paciente en un entorno de cuidados intensivos8. La dosis de alteplasa se puede reducir a la mitad a las 5 horas durante 10 horas adicionales si el riesgo de sangrado del paciente así lo amerita10. La dosis máxima recomendada de alteplasa es de 20 mg para la colocación bilateral del dispositivo, y a las 15 horas, como máximo, la infusión de alteplasa debe interrumpirse junto con el sistema de transductor de ultrasonido10. El sistema de catéter y la vaina introductora deben retirarse con compresión manual del sitio de acceso hasta que se logre la hemostasia. Se debe realizar un ecocardiograma de seguimiento para confirmar la mejoría en la función del VD.

Se presenta este caso como ejemplo de una aproximación clínica, real y descriptiva del uso de esta modalidad de tratamiento para la TEP aguda. Se trata de un caso con una adecuada evolución clínica y hemodinámica a corto plazo, por lo que se reproduce lo antes planteado de la literatura existente.

El TDC parece ser una opción viable y segura, con menor riesgo de complicaciones, que se debe utilizar de forma individualizada en casos de pacientes con TEP masiva o submasiva con contraindicaciones para el tratamiento trombolitico o con alto riesgo de hemorragia.

Bibliografía

1. Stephen R, Ken Z, Noor A. Acute Pulmonary Embolism:Endovascular Therapy. Cardiovasc Diagn Ther. 2018;8(3):244-52. [ Links ]

2. Yamamoto T. Management of Patients with High-Risk Pulmonary Embolism:A Narrative Review. J Intens Care. 2018;6:16. [ Links ]

3. Jimenez D, Yusen RD, Otero R, Uresandi F, Nauffal D, Laserna E. Prognostic Models for Selecting Patients with Acute Pulmonary Embolism for Initial Outpatient Therapy. Chest. 2007;132(1):24-30. [ Links ]

4. Kuo WT, Van den Bosch MA, Hofmann LV, Louie JD, Kothary N, Sze DY. Catheter-directed embolectomy, fragmentation, and thrombolysis for the treatment of massive pulmonary embolism after failure of systemic thrombolysis. Chest. 2008;134:250-4. [ Links ]

5. Konstantinides SV, Barco S, Lankeit M, Meyer G. Management of Pulmonary Embolism an Update. J Am Coll Cardiol. 2016;67(8):976-90. [ Links ]

6. Piazza G, Hohlfelder B, Jaff MR, Ouriel K, Engelhardt TC, Sterling KM, et al. A Prospective, Single-Arm, Multicenter Trial of Ultrasound-Facilitated, Catheter-Directed, Low-Dose Fibrinolysis for Acute Massive and Submassive Pulmonary Embolism:The SEATTLE II Study. JACC Cardiovasc Interv. 2015;8(10):1382-92. [ Links ]

7. Kucher N, Boekstegers P, Muller O, Kupatt C, Beyer-Westendorf J, Heitzer T, el al. Randomized, Controlled Trial of Ultrasound-Assisted Catheter-Directed Thrombolysis for Acute Intermediate-Risk Pulmonary Embolism. Circulation. 2013;129:479-86. [ Links ]

8. Tapson VF, Sterling K, Jones N, Elder M, Tripathy U, Brower J, et al. A Randomized Trial of the Optimum Duration of Acoustic Pulse Thrombolysis Procedure in Acute Intermediate-Risk Pulmonary Embolism:The OPTALYSE PE Trial. JACC Cardiovasc Interv. 2018;11(14):1401-10. [ Links ]

9. Bloomer TL, El-Hayek GE, McDaniel MC, Sandvall BC, Liberman HA, Devireddy CM, et al. Safety of Catheter-Directed Thrombolysis for Massive and Submassive Pulmonary Embolism:Results of a Multicenter Registry and Meta-Analysis. Cath Cardiovasc Interv. 2017;89(4):754-60. [ Links ]

10. Jaber WA, Fong PP, Weisz G, Lattouf O, Jenkins J, Rosenfield K, et al. Acute Pulmonary Embolism:With an Emphasis on an Interventional Approach. J Am Coll Cardiol. 2016;67(8):991-1002. [ Links ]

Responsabilidades éticas

Protección de personas y animales. Los autores declaran que para esta investigación no se han realizado experimentos en seres humanos ni en animales.

Confidencialidad de los datos. Los autores declaran que han seguido los protocolos de su centro de trabajo sobre la publicación de datos de pacientes.

Derecho a la privacidad y consentimiento informado. Los autores han obtenido el consentimiento informado de los pacientes y/o sujetos referidos en el artículo. Este documento obra en poder del autor de correspondencia.

FinanciamientoNinguno.

Recibido: 2 de Octubre de 2018; Aprobado: 4 de Diciembre de 2018

* Correspondencia: Héctor H. Escutia-Cuevas Avenida Coyoacán 1617, Interior APH7 Col. Del Valle Sur, Del. Benito Juárez C.P. 03104, Ciudad de México, México E-mail: perseoyarista@hotmail.com

Conflicto de intereses

Los autores declaran no tener ningún conflicto de intereses.

Creative Commons License Este es un artículo Open Access bajo la licencia CC BY-NC-ND