Patología
Los abscesos cerebrales son infecciones focales del cerebro que puede presentarse con una amplia variedad de síntomas y signos, según el número, la ubicación y el tamaño del absceso. El absceso cerebral puede ser causado por diversos microorganismos, incluidas las bacterias, micobacterias, protozoos, helmintos y hongos (Figura 1).
En el caso se presenta un paciente con absceso cerebral a partir de una infección por Mucormicosis. La mucormicosis es una infección provocada por agentes del orden Mucorales, predominando los géneros Rhizophus y Mucor, seguidos de Lichtheimia, Rhizomucor, Saksenaea, Cunninghamella y Apophysomyces (Figuras 2 y 3). Estos microorganismos se encuentran predominantemente en el suelo y en la materia orgánica en descomposición. La actividad fagocítica es uno de los principales mecanismos de defensa que tiene el sistema inmune para defenderse de esta infección; por lo que la neutropenia severa es un factor importante de riesgo para desarrollar Mucormicosis.1

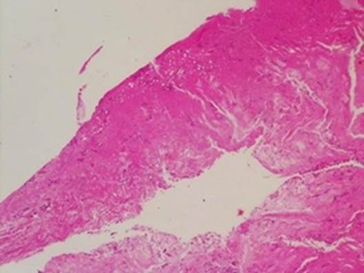
Figura 2 Tejido con extensa necrosis coagulativa e hifas anchas con pared delgada. Tinción con hematoxilina - eosina. Microfotografía a 4 x.

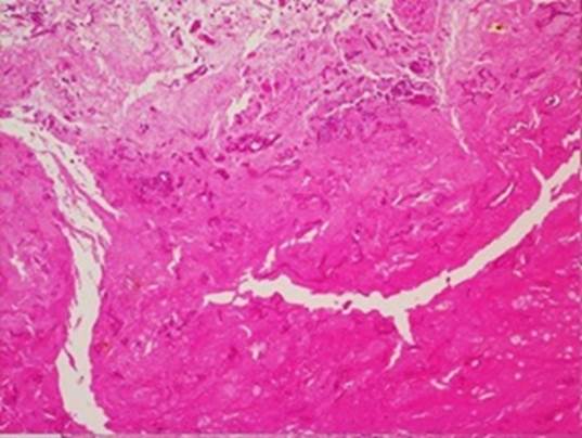
Figura 3 Tejido con extensa necrosis coagulativa e hifas anchas con pared delgada. Tinción con hematoxilina - eosina. Microfotografía a 10 x.
En los países en vías de desarrollo la mayoría de los casos se ven relacionados con pacientes que cuentan con diabetes mellitus en descontrol, entre 27 y 52% de los casos se relacionan con este tipo de pacientes; sobre todo aquellos con un estado de cetoacidosis diabética, ya que esto promueve el desarrollo de la variante rinocerebral de la enfermedad.2 Lo anterior se debe a que los organismos Rhizopus tienen una cetona reductasa que les permite florecer en condiciones hiperglucémicas y acídicas.3 Otros factores de riesgo son: malignidades hematológicas, trasplante de órgano, enfermedades autoinmunes, terapia inmunosupresora, virus de inmunodeficiencia humana, sobrecarga de hierro, quemaduras, traumatismos, diálisis peritoneal y malnutrición.2
Presentación clínica
La presentación clínica de pacientes con absceso cerebral puede ser muy diversa, la triada clásica de absceso cerebral incluye “dolor de cabeza, fiebre, y focos de déficit neurológicos” los cuales se encuentran en 69, 53, y el 48% de los casos. Sin embargo, los pacientes también pueden presentar solo cambios progresivos en el comportamiento o defectos cognitivos, sin algún dato de déficit neurológico.
Un meta-análisis de pacientes con mucormicosis cerebral aislada, demostró que lo más común es que los pacientes presenten lo siguiente: alteración del estado mental (54%), cefalea (51%), hemiparesias (49%), fiebre (46%) y disartria (19%). Así como un promedio de leucocitos en líquido cefalorraquídeo (LCR) de 290 uL.1
Diagnóstico
La imagenología craneal es fundamental para el diagnóstico, la tomografía computarizada con contraste es utilizada para determinar el tamaño y numero de los abscesos, aunque no puede determinar entre metástasis o tumores cerebrales primarios. Además de este, la resonancia magnética también es una valiosa herramienta de diagnóstico para así poder diferenciar el absceso cerebral primario, quístico o tumores necróticos (Figuras 4 y 5).

Figura 4 SPGR con gadolinio, secuencia coronal, en el que se observa reforzamiento regular de las lesiones, así como reforzamiento paquimeníngeo frontonasal y una sinusitis frontoetmoidal, con afectación de los músculos rectomedial derecho y oblicuos superiores.
Tratamiento
El principal tratamiento son los antifúngicos, principalmente la amfotericina B, seguida de flucitosina. El tratamiento farmacológico se puede acompañar de aspiración esterotáctica, con ello se puede reducir la mortalidad de manera notoria.1
El absceso cerebral por mucormicosis es un padecimiento poco común, ya que se presenta en pacientes con comorbilidades importantes, especialmente diabetes mellitus descompensada. No obstante, cuenta con una tasa de mortalidad muy elevada, aproximadamente del 65%, por lo que su diagnóstico oportuno es vital para empezar el tratamiento antifúngico lo más temprano posible.










nueva página del texto (beta)




