SciELO - Scientific Electronic Library Online

 
vol.90 número4Menor opción de parto en cesáreas repetidas: estudio de caracterizaciónDiagnóstico prenatal de aneurisma del septo interauricular: reporte de dos casos índice de autoresíndice de materiabúsqueda de artículos
Home Pagelista alfabética de revistas  

Servicios Personalizados

Revista

Articulo

Indicadores

Links relacionados

  • No hay artículos similaresSimilares en SciELO

Compartir


Ginecología y obstetricia de México

versión impresa ISSN 0300-9041

Ginecol. obstet. Méx. vol.90 no.4 Ciudad de México abr. 2022  Epub 01-Ago-2022

https://doi.org/10.24245/gom.v90i4.5844 

Casos clínicos

Abdomen agudo por torsión de masa anexial en tercer trimestre del embarazo, reporte de un caso y revisión de la literatura

Adnexal mass torsion as a cause of acute abdomen in the third trimester of pregnancy. Case report and review of the literature

Emiliano Vargas-Gómez1 

Sergio Domingo Herrera-Pasive2 

Daniel Orjuela-Castro2 

Maira Gabriela-Torres2 

1 Médico Ginecoobstetra. Hospital Universitario de la Samaritana, Bogotá, Colombia.

2 Interno de Ginecología y Obstetricia. Hospital Universitario de la Samaritana, Bogotá, Colombia.


Resumen

INTRODUCCIÓN:

Las masas anexiales en el embarazo son hallazgos fortuitos durante la gestación. Suelen diagnosticarse con la ecografía del primer trimestre. Su incidencia y curso clínico varían dependiendo de las semanas de embarazo. La complicación más común es la torsión con abdomen agudo. La incidencia de torsión va de 0.2 a 15%, con aumento durante el embarazo con masas de mayor tamaño. Son poco frecuentes durante el tercer trimestre del embarazo. Los cistoadenomas mucinosos son parte de los tumores epiteliales benignos más frecuentes del ovario; se consideran precursores de carcinomas mucinosos.

CASO CLÍNICO:

Paciente de 34 años, con antecedentes obstétricos de cuatro embarazos: dos partos y dos abortos, con 31 semanas de embarazo al ingreso al Hospital Universitario de la Samaritana de Colombia, justificado por un cuadro clínico de 18 horas de evolución consistente en: dolor abdominal intenso, tipo punzada, de predominio en la fosa iliaca y el flanco derechos. En la laparotomía se encontró un tumor ovárico con torsión, que se resecó. El estudio anatomopatológico reportó “tumor mucinoso de tipo endocervical con severos cambios por infarto”. La evolución materno perinatal fue satisfactoria.

CONCLUSIONES:

El diagnóstico de torsión de masa anexial como causa de abdomen agudo en el tercer trimestre del embarazo es complejo pues requiere historia clínica, imágenes y estudios paraclínicos. El pronóstico materno-perinatal es bueno cuándo el tratamiento médico-quirúrgico es oportuno. Se requiere determinar el tipo de masa con estudios anatomopatológicos para continuar el tratamiento integral. El tumor mucinoso de ovario, tipo endocervical en masas torcidas de ovario, es raro.

PALABRAS CLAVE: Tercer trimestre del embarazo; abdomen agudo; neoplasias de ovario; cistadenoma mucinoso

Abstract

BACKGROUND:

Adnexal masses of pregnancy are incidental findings during pregnancy. They are usually diagnosed with first trimester ultrasound. Their incidence and clinical course vary depending on the weeks of pregnancy. The most common complication is torsion with acute abdomen. The incidence of torsion ranges from 0.2 to 15%, with an increase during pregnancy with larger masses. They are rare during the third trimester of pregnancy. Mucinous cystoadenomas are among the most frequent benign epithelial tumors of the ovary; they are considered precursors of mucinous carcinomas.

CLINICAL CASE:

34-year-old female patient, with obstetric history of four pregnancies: two deliveries and two miscarriages, 31 weeks pregnant on admission to the Hospital Universitario de la Samaritana of Colombia, justified by a clinical picture of 18 hours of evolution consisting of: intense abdominal pain, stabbing type, predominantly in the right iliac fossa and flank. At laparotomy the torsion was found and resected. The anatomopathological study reported "mucinous tumor of endocervical type with severe infarction changes". Maternal perinatal evolution was satisfactory.

CONCLUSIONS:

The diagnosis of adnexal mass torsion as a cause of acute abdomen in the third trimester of pregnancy is complex as it requires clinical history, imaging and paraclinical studies. The maternal-perinatal prognosis is good when medical-surgical treatment is timely. It is necessary to determine the type of mass with anatomopathological studies to continue the integral treatment. Mucinous ovarian tumor, endocervical type in twisted ovarian masses, is rare.

KEYWORDS: Third trimester of pregnancy; acute abdomen; ovarian neoplasms; mucinous cystadenoma

INTRODUCCIÓN

Las masas anexiales del embarazo son hallazgos fortuitos que se encuentran en los exámenes de rutina durante el embarazo.1 Con el advenimiento de la ecografía obstétrica esas masas suelen diagnosticarse en la primera evaluación ecográfica trimestral. La incidencia y el curso clínico esperado varían dependiendo de las semanas de embarazo, momento del diagnóstico y los criterios aplicados para definir una masa anexial. 2 La mayor parte de las masas anexiales diagnosticadas durante el embarazo son benignas y muchas veces desaparecen sin complicaciones o intervención; esto atribuido a su histología. 3 En orden de incidencia hay tumores benignos, como el quiste anexial tipo dermoide que representa un 25%, seguido del quiste del cuerpo lúteo funcional (17%), cistadenoma seroso (14%), cistadenoma mucinoso tipo endometrial (8%) y de potencial maligno como el carcinoma (2.8%).4

De acuerdo con la Organización Mundial de la Salud, los tumores ováricos se clasifican en: mucinosos fronterizos (borderline), seromucosos fronterizos-mucinosos de tipo endocervical o mülleriano y carcinomas mucinosos. 5

La morfología del epitelio es variable y, en la mayoría de los casos, el predominio es gástrico, de tipo foveolar. Hay células caliciformes y de tipo endocervical, compuestas de células cuboidales a columnares con citoplasma anfófilo o acidófilo que evolucionan, ligeramente, a basófilas. Sus núcleos son de redondos a ovoides y se encuentran en la base o en la porción media de la célula. 4

En cuanto al diagnóstico y evaluación, en virtud de la alta tasa de alivio espontáneo, el ultrasonido es la aproximación inicial, preferida para evaluar una masa anexial durante el embarazo.6,7,8 La resonancia magnética nuclear sin contraste y los marcadores tumorales son útiles para determinar si una masa asintomática debe ser objeto de una conducta expectante o debe procederse a la remoción quirúrgica. La evaluación precisa es importante para pronosticar la posibilidad de malignidad y, en caso de masas quizá benignas, ayudar a determinar la posibilidad de complicaciones que incluyen: ruptura, torsión y obstrucción del trabajo de parto. 2,9 La utilidad del Doppler en el embarazo para demostrar la falta de perfusión del ovario es limitada, por su baja sensibilidad.10,11,1210,11,12

Por lo que se refiere las complicaciones de una masa anexial durante el embarazo, son en general similares a las de la población no embarazada. Se clasifican en tres grupos generales: emergencias con remoción inmediata (torsión, ruptura), obstrucción del trabajo de parto y malignidad. En una situación en que la salud de la madre está en riesgo, la cirugía no debe retrasarse y el tratamiento es el mismo que el de las no embarazadas. 2

En general, los síntomas de torsión entre las mujeres embarazadas son similares a los de las no embarazadas, en los que se incluyen: dolor agudo constante o intermitente, náuseas y vómitos que pueden ser difíciles de diferenciar con respecto a los síntomas comunes de un embarazo normal. Los cambios anatómicos contribuyen a un diagnóstico desafiante en el tercer trimestre.11,13 En la patología mencionada, que es más frecuente en el primer trimestre y disminuye su presentación en el último periodo, no aparecen signos peritoneales en el examen físico con tanta frecuencia con respecto a las no embarazadas, lo que hace primordial la evaluación clínica por parte del obstetra. 14

Los diagnósticos diferenciales y las principales causas no obstétricas de abdomen agudo son la apendicitis y las alteraciones obstructivas de la vía biliar. 4,13

Por la poca frecuencia se expone un caso de masa anexial torcida en el tercer trimestre del embarazo como causa de abdomen agudo. Se revisa la bibliografía al respecto con el fin de precisar el diagnóstico clínico, la conducta inicial, y el tratamiento de las embarazadas con abdomen agudo, tipo histológico y evolución que habrán de tener la madre y el hijo.

CASO CLÍNICO

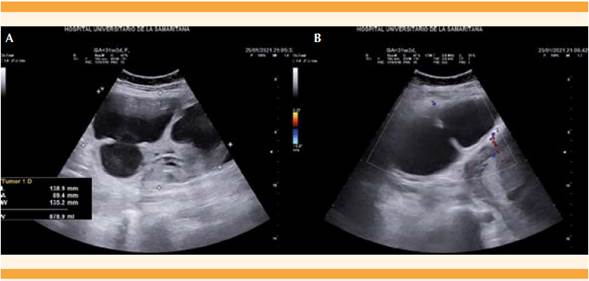
Paciente de 34 años, con antecedentes obstétricos de cuatro embarazos: dos partos y dos abortos, con 31 semanas de embarazo al ingreso al Hospital Universitario de la Samaritana de Colombia, justificado por un cuadro clínico de 18 horas de evolución consistente en: dolor abdominal intenso, tipo punzada, de predominio en la fosa iliaca y el flanco derechos. Durante el examen físico, con signo de Blumberg positivo y signos de irritación peritoneal, altura uterina de 30 cm y feto único vivo cefálico, con bienestar fetal por cardiotocografía reactiva, sin actividad uterina. La ecografía obstétrica documentó que se trataba de un embarazo de 31 semanas, con feto único vivo y gran masa anexial derecha, de características complejas, multitabicada, con dimensiones de 138 x 89 x 135 milímetros para un volumen de 878 cm3. Debido al cuadro clínico y los hallazgos ecográficos se consideró que se trataba de un episodio de abdomen agudo con torsión anexial. Ante este panorama se decidió la laparotomía de urgencia. Los hallazgos intraoperatorios fueron: várices pélvicas, hemoperitoneo de 100 cc, masa dependiente del ovario derecho, torcida, de 15 x 15 centímetros, aproximadamente, con signos de sufrimiento, necrosis y ruptura en torno de su pedículo. La trompa derecha se reportó macroscópicamente sana. Figuras 2Ay2B

Figura 1 A. Ecografía abdominal: muestra un quiste complejo de 138 x 89 x 135 mm para un volumen de 878 cc. B. Captación al Doppler. 

Figuras 2A y 2B. Hallazgo intraquirúrgico de una masa anexial derecha con torsión e isquemia. 

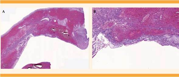
Se practicó la resección del tumor del ovario derecho torcido, sin complicaciones intraoperatorias. El reporte de Patología fue de: “tumor mucinoso de tipo endocervical, con severos cambios por infarto” (Figuras 3Ay3B), con marcadores tumorales negativos: CA19-9: 6.6 U/mL, LDH: 115 U/L, AFP: 192,64 ng/mL, CEA: 0.44 ng / mL, CA-125: 31.9 U/mL.

Figuras 3A y 3B. Cortes histológicos, panorama y acercamiento con representación de la pared del quiste con epitelio de revestimiento columnar y glándulas mucosas; recuerda el endocervix y en el estroma una hemorragia intersticial severa, con fibroblastos reactivos. 

La paciente tuvo una adecuada evolución posoperatoria. El bienestar fetal se documentó con el perfil biofísico y monitoreo fetal de forma seriada. La cervicometría de bajo riesgo para amenaza de parto pretérmino fue la base para indicar el egreso y seguimiento por consulta externa. El embarazo cursó con normalidad hasta su término, con cesárea a las 39 semanas indicada por presentación podálica fetal. El recién nacido tuvo peso y condiciones adecuadas para otorgarle el alta del hospital.

METODOLOGÍA

Se llevó a cabo una búsqueda bibliográfica en las bases de datos electrónicas de PubMed, ClinicalKey, ScienceDirect, Cochrane, con los términos (MeSH): tercer trimestre del embarazo; abdomen agudo; neoplasias de ovario y cistadenoma mucinoso. De enero de 1986 a febrero de 2021 se identificaron 181 artículos. De estos, se tomaron 27 referencias para documentar la incidencia de masas anexiales durante el embarazo y sus complicaciones en el tercer trimestre; entre ellos se seleccionaron 10 estudios (Cuadro 1) que corresponden a reportes de caso relacionados con masa anexial en el tercer trimestre del embarazo y dolor abdominal, de los que 8 se relacionaban con torsión anexial. Se excluyeron 154 artículos que no cumplieron con los criterios de inclusión. Los 17 restantes se utilizaron para apoyo al tema. El tipo de población escogida fueron mujeres en el tercer trimestre del embarazo, con masas anexiales. Se evaluaron: edad de la paciente, semanas de embarazo al momento del inicio de los síntomas, imágenes diagnósticas obtenidas, hallazgos anatomopatológicos, tipo de tratamiento, semanas de gestación al momento de la finalización del embarazo y vía de nacimiento. Pronóstico para la madre y evolución del recién nacido.

Cuadro 1 Casos reportados de torsión anexial en el tercer trimestre del embarazo 

Autores Año Edad de la paciente (años) Semanas de embarazo Laparotomía Vía de nacimiento Ecografía Resonancia magnética nuclear Patología
Ahter Tancy Tayar, et al11 2017 26 30 Cesárea Hemorragia e isquemia de ovario
Wei Ba, XiaoXu,Haizhu Xe12 2020 27 31.5 No reporta Necrosis parcial de ovario
Born C13 2003 22 28 No reporta Cuerpo lúteo hemorrágico
Antoniou NM, Varras C, Akirvis CH, et al20 2003 30 38 No Cesárea No Cistoadenoma mucinoso benigno tipo estroma luteínico o células de Leydig
Neff R, Keller B, Isley M21 2016 31 27 Cesárea Tumor desmoplásico de células redondas de ovario
Malhotra N, Sumana G, Deka D22 2010 31 30 Si Cesárea NR Adenocarcinoma mucinoso de ovario
Kabil S, Acar C, Temick O23 2016 22 33 Cesárea Cistoadenoma mucinoso con estroma luteínico
Schreck A, Mikdachi A, et al24 2019 22 34 Cesárea No No Cistoadenoma mucinoso benigno
Villafán L, Vega G25 2014 25 35.4 Cesárea No No Cistoadenoma seroso gigante de ovario
Mishra S, et al26 2018 28 29 No Cesárea No Cistoadenoma mucinoso de ovario gigante

DISCUSIÓN

Si bien la verdadera incidencia de torsión ovárica no es clara y varía de 0.2 a 15%, el riesgo de torsión parece aumentar durante el embarazo. Es más común con masas de mayor tamaño y más frecuente en el primer trimestre y principios del segundo, quizá debido al desplazamiento de los anexos fuera de la pelvis, por el útero grávido en crecimiento.4,13,15-20

En la torsión, los anexos rotan en su pedículo y afectan el suministro de sangre, da lugar a estasis circulatoria que, inicialmente, es venoso, pero se vuelve arterial conforme la torsión avanza. Cuando se completa la torsión con sospecha de necrosis hemorrágica, la cirugía inmediata es indispensable. 12,14

En relación con los casos de la revisión bibliográfica, la edad de las pacientes tuvo límites de 22 y 31 años. El tratamiento quirúrgico inmediato por laparotomía lo requirieron 8 pacientes;11,12,13,21-25 en las otras dos se practicó la escisión de la masa al momento de la cesárea: uno por conducta expectante y el otro como hallazgo fortuito sin clínica compatible con abdomen agudo o torsión anexial. 20,26 El ultrasonido fue el método inicial preferido para evaluar la masa anexial durante el embarazo. 6,7,8 La resonancia magnética nuclear puede ser útil cuando los reportes ecográficos no son concluyentes, o cuando una evaluación más amplia de los planos tisulares y la relación con otros órganos pueda ser importante para la planificación obstétrica o quirúrgica. También resulta útil para el diagnóstico de otros procesos intraabdominales: apendicitis, enfermedad intestinal inflamatoria, obstrucción intestinal y diverticulitis 2. En ocho pacientes se practicaron estudios de ultrasonografía,11,12,13,20-23,26 de resonancia magnética nuclear en cinco casos,11-13,21,23 y de un caso no se aportó información.

El diagnóstico de confirmación del tipo histológico de masa anexial se estableció con base en el reporte del estudio anatomopatológico de la pieza quirúrgica: en cinco casos en los que se encontró un tumor mucinoso de ovario, uno de ellos fue maligno, 22 los otros cuatro fueron benignos.11,20,23,26 De éstos uno se reportó como cistoadenoma mucinoso benigno, tipo estroma luteínico o células de Leydig. 20 En un caso se reportó cuerpo lúteo hemorrágico. 13 En otro caso cistoadenoma seroso gigante, 25 el siguiente de tumor desmoplásico de células redondas de ovario, 21 en dos casos hemorragia e isquemia de ovario con necrosis. 11,12

En la paciente del caso se reportó un “tumor mucinoso de tipo endocervical, con severos cambios por infarto”. En esta revisión no se encontró ningún reporte anatomopatológico similar. Los cistoadenomas mucinosos son parte de los tumores epiteliales benignos más frecuentes del ovario. Se consideran los precursores de carcinomas mucinosos, con transformación a tumores malignos de manera escalonada, con trascendencia de cistoadenoma mucinoso a tumor mucinoso limítrofe y de éste a carcinoma mucinoso. Estos carcinomas se clasifican según sus características morfológicas, y se agrupan en dos subtipos según su diferenciación: tipo intestinal y tipo endocervical, que tienen determinadas similitudes con tumores de tipo seroso y endometrioide. 4

Los desenlaces perinatales adversos son más frecuentes con masas anexiales en el tercer trimestre del embarazo respecto de si el evento sucede en los dos trimestres previos. 6,27 En esta revisión se evidenciaron desenlaces inadecuados materno-perinatales: se reportaron tres recién nacidos a término,20,21,26 cinco casos de recién nacidos pretérmino, aunque los neonatos tuvieron buen estado de salud.11,22-24,25 La vía de finalización del embarazo fue la cesárea en ocho casos,11,20-26 dos casos por presentación podálica, 11,26 un caso por rotura prematura de membranas y dos cesáreas anteriores, 24 un caso por estado fetal insatisfactorio; 20 en dos casos no se registró la vía del nacimiento, ni tampoco las semanas de embarazo a la finalización.12,13

Por lo que se refiere al pronóstico materno, en los reportes de caso no se reseñan muertes maternas a consecuencia de abdomen agudo por torsión de masa anexial o complicaciones del parto.

CONCLUSIÓN

El diagnóstico de torsión de masa anexial como causa de abdomen agudo en el tercer trimestre del embarazo es menos frecuente que en el primero y segundo trimestres. Su diagnóstico es complejo porque requiere que la historia clínica sea completa, con imágenes diagnósticas y de exámenes paraclínicos. La ecografía y la resonancia magnética sin contraste son los métodos de elección diagnóstica para masas anexiales durante el embarazo.

Ante todo cuadro de dolor abdominal durante el tercer trimestre del embarazo debe descartarse la existencia de masas anexiales torcidas como causa de abdomen agudo. Esto por la amplia gama de padecimientos que lo pueden generar durante el embarazo. Por esto deben buscarse signos claros de irritación peritoneal, con apoyo del ultrasonido y evaluar la necesidad de laparotomía de urgencia. Ante la sospecha de una complicación por masa anexial en el tercer trimestre del embarazo prima el juicio clínico del cirujano. Cualquier retraso en la conducta puede desencadenar en necrosis ovárica irreversible que requiera anexectomía.

El tumor mucinoso de ovario, de tipo endocervical en masas torcidas durante el tercer trimestre del embarazo, es poco frecuente.

El pronóstico materno-perinatal, en masas torcidas en el tercer trimestre del embarazo no es bueno, pero en el caso reportado fue exitoso, por el tratamiento médico-quirúrgico oportuno.

La vía del parto se decide por causas obstétricas y no por la masa anexial. El tipo de masa debe determinarse con estudios anatomopatológicos para continuar el seguimiento de la paciente.

En la paciente del caso se optó por un enfoque diagnóstico, reconocimiento y documentación temprano de la entidad quirúrgica que facilitó la resección de la masa con prontitud. Se evidenció un cistoadentoma mucinoso de tipo endocervical de manifestación infrecuente, que derivó en una evolución materna y perinatal satisfactoria.

REFERENCIAS

1. Hakoun A, AbouAl-Shaar I, Zaza K, Abou-Al-Shaar H, et al. Adnexal masses in pregnancy: An updated review. Avicenna J Med 2017; 7 (4): 153-57. doi: 10.4103 / ajm.AJM_22_17 [ Links ]

2. Naqvi M, Kaimal A. Adnexal masses in pregnancy. Clin Obstet Gynecol 2015; 58 (1): 93-101. doi: 10.1097 / GRF.0000000000000088 [ Links ]

3. Zanetta G, Mariani E, Lissoni A, Ceruti P, et al. A prospective study of the role of ultrasound in the management of adnexal masses in pregnancy. BJOG 2003; 110 (6): 578-83. https://doi.org/10.1046/j.1471-0528.2003.02940.x [ Links ]

4. Cagino K, Li X, Thomas C, Delgado D, et al. Surgical Management of Adnexal Masses in Pregnancy: A Systematic Review and Meta-analysis. J Minim Invasive Gynecol 2021; S1553-4650 (21) 00053-4. doi:10.1016/j.jmig.2021.01.020 [ Links ]

5. López-Carpintero N, Salazar-Arquero FJ, Ibáñez-Santamaría A, de la Fuente-Valero J, Aramendi-Sánchez T, Hernández-Aguado JJ. Tumor ovárico benigno proliferante mucinoso de tipo endocervical con hiperplasia microglandular. Ginecol Obstet Mex 2018; 86 (4): 281-88. https://doi.org/10.24245/gom.v86i3.1159 [ Links ]

6. Whitecar P, Turner S, Higby K. Adnexal masses in pregnancy: a review of 130 cases undergoing surgical management. Am J Obstet Gynecol 1999; 181 (1): 19-24. https://doi.org/10.1016/S0002-9378(99)70429-1 [ Links ]

7. BromLey B, Benacerraf B. Adnexal masses during pregnancy: accuracy of sonographic diagnosis and outcome. J Ultrasound Med 1997; 16 (7): 447-54. https://doi.org/10.7863/jum.1997.16.7.447 [ Links ]

8. Schmeler K, Mayo-Smith W, Peipert J, Weitzen S, et al. Adnexal masses in pregnancy: surgery compared with observation. Obstet Gynecol 2005; 105 (5 Pt 1): 1098-103. doi:10.1097/01.AOG.0000157465.99639.e5 [ Links ]

9. Sarandakou A, Protonotariou E, Rizos D. Tumor markers in biological fluids associated with pregnancy. Crit Rev Clin Lab Sci 2007; 44 (2): 151-78. https://doi.org/10.1080/10408360601003143 [ Links ]

10. Timmerman D, Ameye L, Fischerova D, Epstein E, et al. Simple ultrasound rules to distinguish between benign and malignant adnexal masses before surgery: prospective validation by IOTA group. BMJ 2010; 341. doi: https://doi.org/10.1136/bmj.c6839 [ Links ]

11. Tayyar AT, Tayyar A, Atakul T, Sentürk M, et al. Adnexal torsion in the third trimester of pregnancy: a challenging diagnosis. Int J Reprod Contracept Obstet Gynecol 2017; 6 (7): 3163-66. http://dx.doi.org/10.18203/2320-1770.ijrcog20172955 [ Links ]

12. Bai W, Xu X, Xie H, Chunjuan S, et al. Adnexal torsion in the third trimester of pregnancy: a case report and diagnostic value of MR imaging. BMC Med Imaging 2020; 20 (1): 19. doi:10.1186/s12880-020-00422-1 [ Links ]

13. Born C, Wirth S, Stäbler A, Reiser M. Diagnosis of adnexal torsion in the third trimester of pregnancy: a case report. Abdom Imaging 2003; 29 (1): 123-27. doi:10.1007/s00261-003-0079-x [ Links ]

14. Hasson J, Tsafrir Z, Azem F, Bar-ON S, et al. Comparison of adnexal torsion between pregnant and nonpregnant women. Am J Obstet Gynecol 2010; 202 (6): 536.e1-536.e5366. https://doi.org/10.1016/j.ajog.2009.11.028 [ Links ]

15. Condous G, Khalid A, Okaro E, Bourne T. Should we be examining the ovaries in pregnancy? Prevalence and natural history of adnexal pathology detected at first-trimester sonography. Ultrasound Obstet Gynecol 2004; 24 (1): 62-66. https://doi.org/10.1002/uog.1083 [ Links ]

16. Bernhard L, Klebba P, Gray D, Mutch D. Predictors of persistence of adnexal masses in pregnancy. Obstet Gynecol 1999; 93 (4): 585-89. doi:10.1016/s0029-7844(98)00490-6 [ Links ]

17. Johnson TR Jr, Woodruff JD. Surgical emergencies of the uterine adnexae during pregnancy. Int J Gynaecol Obstet 1986;24(5):331-335. https://doi.org/10.1016/0020-7292(86)90150-5 [ Links ]

18. Yen CF, Lin SL, Murk W, Lee CL, et al. Risk analysis of torsion and malignancy for adnexal masses during pregnancy. Fertil Steril 2009; 91 (5):1895-902. https://doi.org/10.1016/j.fertnstert.2008.02.014 [ Links ]

19. Koo YJ, Kim TJ, Lee JE, Kwon YS, et al. Risk of torsion and malignancy by adnexal mass size in pregnant women. Acta Obstet Gynecol Scand 2011; 90 (4): 358-61. https://doi.org/10.1111/j.1600-0412.2011.01070.x [ Links ]

20. Antoniou N, Varras M, Akrivis Ch, Demou A, Bellou A, Stefanaki S. Mucinous cystadenoma of the ovary with functioning stroma and virilization in pregnancy: a case report and review of the literature. Clin Exp Obstet Gynecol 2003; 30 (4): 248-52. PMID: 14664425. [ Links ]

21. Neff R, Kellert B, Isley M, Backes F. Management of a rapidly enlarging new adnexal mass: a rare case of desmoplastic small round cell tumor of the ovary arising in pregnancy. Gynecol Oncol Rep 2016; 17: 23-25. https://doi:10.1016/j.gore.2016.05.008 [ Links ]

22. Malhotra N, Sumana G, Singh A, Deka D, et al. Rupture of a malignant ovarian tumor in pregnancy presenting as acute abdomen. Arch Gynecol Obstet 2010; 281 (5): 959-61. doi:10.1007/s00404-009-1294-7 [ Links ]

23. Kucur SK, Acar C, Temizkan O, Ozagari A, et al. A huge ovarian mucinous cystadenoma causing virilization, preterm labor, and persistent supine hypotensive syndrome during pregnancy. Autops Case Rep 2016; 6 (2): 39-43. http://dx.doi.org/10.4322/acr.2016.029 [ Links ]

24. Schreck AM, Mikdachi HF. Benign ovarian tumors in pregnancy: a case report of metachronous ipsilateral recurrent mucinous cystadenoma in initial pregnancy and mature cystic teratoma in subsequent pregnancy. Cureus 2019; 11 (1): e3818. doi:10.7759/cureus.3818 [ Links ]

25. Villafán L, Vega G, Rivera M, Romo, et al. Cistoadenoma seroso gigante de ovario y embarazo a término. Reporte de un caso. Clínica e Investigación en Ginecología y Obstetricia 2014; 42 (4), 180-82. doi: 10.1016/j.gine.2014.05.005 [ Links ]

26. Mishra S, Yadav M, Walawakar SJ. Giant ovarian mucinous cystadenoma complicating term pregnancy. JNMA J Nepal Med Assoc 2018; 56 (210): 629-32. https://pubmed.ncbi.nlm.nih.gov/30376010/Links ]

27. Al-Fozan H, Tulandi T. Safety and risks of laparoscopy in pregnancy. Curr Opin Obstet Gynecol 2002; 14 (4): 375-79. doi:10.1097/00001703-200208000-00003 [ Links ]

Este artículo debe citarse como: Vargas-Gómez E, Herrera-Pasive S, Orjuela-Castro D, Gabriela-Torres M. Abdomen agudo por torsión de masa anexial en tercer trimestre del embarazo, reporte de un caso y revisión de la literatura. Ginecol Obstet Mex 2022; 90 (4): 348-355.

Recibido: Junio de 2021; Aprobado: Agosto de 2021

Correspondencia Emiliano Vargas Gómez emilianovargas9@hotmail.com

Creative Commons License Este es un artículo publicado en acceso abierto bajo una licencia Creative Commons