SciELO - Scientific Electronic Library Online

 
vol.88 número4Mola invasiva en adolescente de 13 años. Aspectos fundamentales del diagnóstico y tratamientoTrasmisión vertical de la enfermedad de Chagas: reporte de caso índice de autoresíndice de materiabúsqueda de artículos
Home Pagelista alfabética de revistas  

Servicios Personalizados

Revista

Articulo

Indicadores

Links relacionados

  • No hay artículos similaresSimilares en SciELO

Compartir


Ginecología y obstetricia de México

versión impresa ISSN 0300-9041

Ginecol. obstet. Méx. vol.88 no.4 Ciudad de México abr. 2020  Epub 30-Ago-2021

https://doi.org/10.24245/gom.v88i4.3630 

Casos clínicos

Estudios de imagen cerebral en el diagnóstico diferencial de enfermedades hipertensivas del embarazo y convulsiones. Reporte de dos casos

Brain imaging studies in the differential diagnosis of patients with hypertensive diseases of pregnancy and seizures. Report of two cases

Fernando Urquiza y Conde1 

José Antonio Hernández-Pacheco2 

1 Ginecología y Obstetricia, Hospital Ángeles Lomas, Ciudad de México.

2 Departamento de Terapia Intensiva del Adulto, Instituto Nacional de Perinatología Isidro Espinosa de los Reyes, Ciudad de México.


Resumen

ANTECEDENTES:

Las crisis convulsivas durante el embarazo son la complicación neurológica más frecuente. Casi todas ocurren en pacientes con epilepsia; cuando aparece la primera durante el embarazo debe establecerse su causa.

PRIMER CASO:

Paciente de 28 años, con antecedente de hipertensión arterial. Cursaba el puerperio posquirúrgico tardío con preeclampsia sobreagregada cuando tuvo tres crisis convulsivas. Acudió a urgencias y la trataron con sulfato de magnesio: evolucionó a estatus epiléptico. Los estudios de neuroimagen reportaron trombosis de la vena cortical frontal izquierda. Se aplicaron medidas de neuroprotección con adecuada evolución clínica y fue dada de alta del hospital sin déficit motor, sensitivo y cognoscitivo.

SEGUNDO CASO:

Paciente de 22 años, con antecedente de citopatía mitocondrial del fenotipo oftalmoplejía externa progresiva crónica. Cursaba su primer embarazo sin control prenatal. A la semana 28 sufrió cefalea y una crisis convulsiva. Acudió a urgencias debido a la hipertensión arterial; le prescribieron un antihipertensivo y sulfato de magnesio. Los estudios de neuroimagen reportaron: síndrome de encefalopatía reversible posterior, secundario a eclampsia. Se interrumpió el embarazo y la paciente evolucionó favorablemente.

CONCLUSIÓN:

Las convulsiones en el embarazo y puerperio en mujeres con enfermedades hipertensivas pueden tener un comportamiento benigno o ser potencialmente mortales. Se propone un algoritmo diagnóstico para tratar a estas pacientes, resalta la sospecha clínica de otras causas de convulsiones como la principal indicación de estudios de imagen.

PALABRAS CLAVE: Crisis convulsivas; embarazo; epilepsia; presión sanguínea elevada; preeclampsia; sulfato de magnesio; agentes antihipertensivos; posparto

Abstract

BACKGROUND:

Seizures during pregnancy are the most frequent neurological complication. Most occur in patients with epilepsy. When the first crisis appears during pregnancy, the cause must be determined.

FIRST CASE:

A 28-year-old patient with a history of high blood pressure. She was in the late puerperium with over-added preeclampsia when she presented three seizures. She went to the emergency room and started magnesium sulfate, evolving to epileptic status. Neuroimaging studies were performed and reported thrombosis of the left frontal cortical vein. Neuroprotection measures were applied with adequate clinical evolution. She was discharge without motor, sensory and cognitive deficits.

SECOND CASE:

A 22-year-old patient with a history of a chronic progressive external ophthalmoplegia mitochondrial cytopathy. She was in her first pregnancy without prenatal control. At the 28 week she began with headache and had a seizure. She went to the emergency department with high blood pressure, so she was given antihypertensive therapy and magnesium sulfate. Neuroimaging studies reported a posterior reversible encephalopathy syndrome secondary to eclampsia. The pregnancy was interrupted, and she evolved favorably.

CONCLUSION:

Seizures in pregnancy and puerperium in women with hypertensive diseases of pregnancy may have benign behavior or may be life-threatening. We propose a diagnostic algorithm for the approach of these patients, highlighting the clinical suspicion of other causes of seizures as the main indication of imaging studies.

KEYWORDS: Seizures; Pregnancy; Epilepsy; High blood pressure; Preeclampsia; Magnesium Sulfate; Antihypertensive Agents; Pospartum Period

ANTECEDENTES

Durante el embarazo y puerperio disminuye el umbral de excitación para crisis convulsivas de cualquier causa.1 Durante el embarazo, las crisis convulsivas son la complicación neurológica más frecuente, con prevalencia de 1.2%.2,3

Gran parte de las convulsiones que sobrevienen durante el embarazo se registran en mujeres con epilepsia diagnosticada. 4 Cuando sucede la primera crisis convulsiva durante el embarazo y puerperio debe determinarse su causa, que puede ser secundaria a otros padecimientos estructurales, metabólicos, infecciosos o toxicológicos. 3,5

La eclampsia es la causa más frecuente de crisis convulsivas de novo durante el embarazo y sigue siendo motivo relevante de morbilidad y mortalidad materna y fetal. 4 En el mundo occidental la incidencia de eclampsia es de 1 por cada 2000 a 1 por cada 3000 embarazos, con un riesgo 10 veces mayor en centros especializados y en países en vías de desarrollo. Se estima que 1 de cada 50 mujeres con eclampsia muere, cifra aún mayor en países en vías de desarrollo. En las mujeres fallecidas por esta causa se han encontrado diferentes grados de hemorragia, edema cerebral, vasculopatía y evento vascular cerebral isquémico. 5

Se han propuesto dos hipótesis principales para explicar la fisiopatología de la eclampsia, ambas basadas en la autorregulación del flujo sanguíneo cerebral ante los cambios en la presión arterial. La primera consiste en la sobreautorregulación en respuesta a una elevada perfusión cerebral que causa isquemia secundaria a vasoespasmo. No obstante, la reversibilidad de los síntomas neurológicos y de las lesiones en los estudios de imagen, en cuestión de días a semanas durante el puerperio hace poco probable que las lesiones sean secundarias a una verdadera necrosis por isquemia cerebral. 5 La segunda hipótesis consiste en la pérdida del mecanismo de autorregulación con vasodilatación forzada de las arterias y arteriolas cerebrales, ante la elevación de la presión arterial sobre un cierto umbral (casi siempre 160 mmHg) que genera hiperperfusión y una relación lineal entre el flujo y la presión arterial que da lugar al edema vasogénico. 1,5 Esta encefalopatía hipertensiva se denomina: síndrome de encefalopatía posterior reversible, o PRES, pos sus siglas en inglés (Posterior Reversible Encephalopathy Syndrome), que es un espectro clínico radiológico en pacientes con eclampsia. 5 Se caracteriza por edema cortical y subcortical en la sustancia blanca, con predominio en el lóbulo occipital. 6

En mujeres con preeclampsia, la causa más lógica de convulsiones es la eclampsia; no obstante, diversos autores refieren que en estas mujeres se incrementa el riesgo de convulsiones asociadas con evento vascular cerebral isquémico o hemorrágico. 7

Establecer el diagnóstico diferencial es decisivo porque el pronóstico final depende del tratamiento específico y efectivo, según la etiología.

CASO 1

Paciente de 28 años, con antecedente de 2 embarazos y 1 cesárea, hipertensión arterial crónica de 2 años de evolución en tratamiento previo al embarazo con telmisartán y amlodipino. Tabaquismo y obesidad grado III (índice de masa corporal 41 kg/m2). Embarazo actual de 39 semanas, en tratamiento con metildopa. El embarazo finalizó mediante cesárea electiva, sin complicaciones, con el nacimiento de una niña que pesó 3360 g, Capurro de 38.2 semanas, Apgar 8-9, que se atendió en cuneros fisiológicos, sin complicaciones. Durante su estancia intrahospitalaria tuvo proteinuria y elevación de la presión arterial de 160-110 mmHg; se integró el diagnóstico de preeclampsia sobreagregada. Se indicó tratamiento con sulfato de magnesio durante 24 horas y fue dada de alta del hospital con receta de: telmisartan, amlodipino, analgésico y heparina no fraccionada, a dosis profilácticas, durante 7 días.

En el noveno día de puerperio, en su domicilio, tuvo 3 crisis convulsivas tónico-clónicas generalizadas. Ingresó al servicio de Urgencias en periodo postictal, con presión arterial 146-99 mmHg, frecuencia cardiaca de 90 lpm, frecuencia respiratoria de 20 rpm y temperatura de 36.9 °C. Se trató con dosis de 4 g de sulfato de magnesio administrados en 30 minutos, seguidos de una infusión de 1 g por hora. Durante su permanencia en urgencias tuvo otra crisis convulsiva. Se le practicaron los estudios necesarios para confirmar o descartar el diagnóstico de estatus epiléptico. Los reportes de laboratorio fueron: hemoglobina 15.3 g/dL, hematocrito 48.1%, glucosa 112 g/dL, creatinina sérica 0.6 mg/dL, ácido úrico 12 mg/dL, sodio 140 mEq/L, potasio 3.9 mEq/L, cloro 105 mEq/L, aspartatoaminotransferasa (AST) 27 UI, alaninoaminotransferasa (ALT) 43 UI, deshidrogenasa láctica 295 UI y bilirrubina total 0.3 mg/dL.

La tomografía axial computada con contraste reportó: hipodensidad en la sustancia blanca en el primer giro frontal izquierdo, con vena cerebral superficial hiperdensa y sin realce; se descartan: trombosis de la vena superficial cerebral e infarto venoso de giro frontal superior izquierdo.

La resonancia magnética nuclear reportó: trombosis de la vena cortical frontal izquierda que condicionó un evento agudo isquémico del lóbulo frontal ipsilateral (Figuras 1y2), trombosis parcial de la vena sagital superior en el tercio medio y vena cortical parietal izquierda (Figura 3), hiperintensidades puntiformes de la sustancia blanca, con patrón vascular no reciente, turbulencia del flujo del seno lateral derecho. Sin datos de síndrome de encefalopatía reversible posterior.

Figura 1 Resonancia magnética nuclear: corte sagital en fase T2 con evento agudo isquémico del lóbulo frontal condicionado por trombosis de vena cortical frontal izquierda. 

Figura 2 Resonancia magnética nuclear: corte transversal en fase T2 con evento agudo isquémico del lóbulo frontal, condicionado por trombosis de vena cortical frontal izquierda sin datos de síndrome de encefalopatía reversible posterior. 

Figura 3 Resonancia magnética nuclear, corte transversal en fase T1 con contraste con trombosis parcial de la vena sagital superior en el tercio medio. 

La punción lumbar descartó la neuroinfección.

Se le infundieron 2 mg/kg de midazolam y permaneció en cuidados neurocríticos, con ventilación mecánica durante 48 horas y 2 mg/kg cada 12 horas de enoxaparina. Con este esquema la evolución de la paciente fue favorable; la ventilación mecánica se retiró a las 48 horas de estancia en la unidad de cuidados intensivos. Fue dada de alta del hospital a los 15 días, sin déficit motor, sensitivo y cognoscitivo con indicación para continuar con: levetiracetam, tratamiento antihipertensivo y anticoagulación terapéutica.

Se estableció la impresión diagnóstica de puerperio posquirúrgico tardío, trombosis de la vena cortical frontal izquierda, trombosis parcial de la vena sagital superior en el tercio medio y de la vena cortical parietal izquierda, evento agudo isquémico del lóbulo frontal ipsilateral, crisis epiléptica secundaria, obesidad grado III e hipertensión arterial sistémica, con preeclampsia sobreagregada.

CASO 2

Paciente primigesta, de 22 años, en la semana 28 del embarazo. Antecedentes de hipotiroidismo congénito, tumor meníngeo en la región lumbar, múltiples cirugías en el hígado y vías biliares debido a un quiste en el colédoco, que se trató con derivación biliodigestiva en 1998. Además: múltiples transfusiones y hepatitis B. En 2015 se le diagnosticó, por enteroscopia, una tumoración en el yeyuno de 7 x 3 mm, que se resecó, sin complicaciones aparentes. En 2016 se le diagnosticó citopatía mitocondrial del fenotipo oftalmoplejía externa progresiva crónica (CPEO+): probable síndrome de Kearns-Sayre.

En su domicilio experimentó: cefalea holocraneana intensa y crisis convulsiva tónico clónica generalizada. Durante su traslado al hospital tuvo otra crisis convulsiva. Ingresó a Urgencias en periodo postictal, con presión arterial de 160-110 mmHg, con posterior episodio de agitación psicomotriz. Se trató con 500 mg de metildopa cada 8 horas y 4 g de sulfato de magnesio en 30 minutos, seguidos de una infusión de 1 g por hora.

La TAC de cráneo simple mostró imágenes hipodensas, bilaterales, asimétricas y parietooccipitales. Se hizo una punción lumbar, con citológico, tinción Gram y cultivo, sin alteraciones.

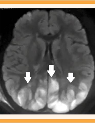
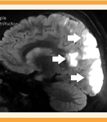
La resonancia magnética mostró imágenes hiperintensas en la región parietoccipital, simétricas, bilaterales en la sustancia blanca, sugerentes de síndrome de encefalopatía reversible posterior. Figuras 4y5

Figura 4 Resonancia magnética nuclear, corte transversal en fase FLAIR con imágenes hiperintensas en la región parietoccipital, simétricas, bilaterales en la sustancia blanca, sugerentes de síndrome de encefalopatía reversible posterior. 

Figura 5 Resonancia magnética nuclear: corte sagital en fase FLAIR, con imágenes hiperintensas en la región parietoccipital, en la sustancia blanca, sugerente de síndrome de encefalopatía reversible posterior. 

A las 24 horas de su ingreso tuvo otra crisis convulsiva tónica clónica generalizada, con lesión traumática de la lengua; se le administraron otros 4 gramos de sulfato de magnesio y levetiracetam y se trasladó a la paciente a un hospital especializado en Ginecología y Obstetricia.

El ultrasonido fetal mostró fetometría para 26.6 semanas, con peso fetal estimado de 937 g, placenta posterior alta, líquido amniótico cualitativamente normal, Doppler de la arteria umbilical con flujo diastólico ausente e índice de pulsatilidad promedio de las arterias uterinas mayor al percentil 95, sugerente de disfunción placentaria severa; se indicó la interrupción del embarazo por vía abdominal. Los estudios de laboratorio reportaron trombocitopenia, elevación de enzimas hepáticas y proteinuria.

Debido al antecedente del tumor meníngeo en la región lumbar se decidió por la anestesia general balanceada. La cesárea trascurrió sin complicación. El recién nacido: vivo, masculino, Apgar 4-8, Silverman Anderson no valorable, Capurro 31.5 semanas, talla 39 cm, peso 1015 g. Se trasladó a la unidad de cuidados intensivos neonatales.

La madre también se ingresó a la unidad de terapia intensiva para su monitorización, estabilización y tratamiento antihipertensivo. Evolucionó favorablemente, sin complicaciones sobreagregadas. Fue dada de alta del hospital con tratamiento antihipertensivo y diagnóstico de puerperio postquirúrgico, eclampsia, síndrome de encefalopatía reversible posterior, síndrome de HELLP, citopatía mitocondrial fenotipo CPEO+, mielofibrosis grado 1 e infección por virus de hepatitis B.

El recién nacido evolucionó favorablemente, sin complicaciones sobreagregadas a la prematurez, por lo que fue dado de alta, con seguimiento genético.

DISCUSIÓN

La preeclampsia, por definición, es el pródromo de la eclampsia, lo que hace sospechar que la principal causa de las convulsiones en las pacientes con enfermedades hipertensivas en el embarazo sea la eclampsia. Se expusieron dos casos de pacientes con preeclampsia que padecieron convulsiones; el diagnóstico diferencial se estableció gracias a los estudios de imagen. En el caso 1 la paciente, aparentemente, tenía eclampsia y resultó una trombosis del seno venoso, mientras que en el caso 2 la paciente tenía distractores para sospechar que las convulsiones eran por una causa estructural y resultó una eclampsia por síndrome de encefalopatía reversible posterior. Esta diferencia fue relevante debido a que en el caso 1 se aplicaron medidas de cuidados neurocríticos dirigidas a la trombosis venosa cerebral y en el caso 2 se trató a la paciente con sulfato de magnesio y control de la presión arterial.

La eclampsia se define como la aparición, de novo, de crisis convulsivas tónico clónicas generalizadas antes, durante o después del nacimiento, en mujeres con preeclampsia “habiendo descartado otras causas”. 8 “Descartar otras causas” resulta un criterio necesario para poder concluir el diagnóstico porque en muchas ocasiones no es suficientemente investigado.

El síndrome de encefalopatía reversible posterior es un componente esencial de la patogénesis de la eclampsia, 9 casi siempre tiene un curso benigno porque suele haber desaparición completa de los datos clínicos cuando se normaliza la presión arterial, que puede conseguirse con tratamiento antihipertensivo o con la finalización del embarazo. 10 A este padecimiento clínico-radiológico se le ha denominado: encefalopatía hipertensiva, síndrome de leucoencefalopatía posterior reversible, síndrome de edema cerebral posterior reversible y síndrome de encefalopatía reversible posterior; sin embargo, el nombre no refleja, del todo, lo que es, porque en realidad no siempre el edema es posterior ni es reversible. 6

Existe una clasificación de la gravedad del síndrome de encefalopatía reversible posterior que lo divide en leve, moderado y severo, según la extensión de la hiperintensidad, el efecto de masa, los signos de herniación y el daño a sitios atípicos. 6,11

El síndrome de encefalopatía reversible posterior tiene un espectro clínico muy amplio. Junewar y colaboradores, en 35 casos con síndrome de encefalopatía reversible posterior secundario a eclampsia, encontraron en 33 alteraciones sensoriales, en 24 cefalea, en 10 alteraciones visuales, en 3 déficit focal neurológico y en 13 estatus epiléptico. En ese estudio, a 32 de 35 pacientes se les hicieron estudios de resonancia magnética nuclear en los primeros 3 días de los síntomas neurológicos y 24 de las 35 tuvieron hallazgos patológicos en la resonancia magnética nuclear. La región frontal tuvo participación en 31 de las 35 pacientes, temporal en 15, parietal y occipital en todos los casos. Cinco pacientes tuvieron hemorragia, de ellas, 4 intraparenquimatosa y 1 microhemorragia. En 27 de 32 resonancias magnéticas se encontraron datos patológicos, con mayor incidencia de distribuciones atípicas y edema citotóxico de lo que se pensaba anteriormente. 23 de las 35 pacientes tuvieron síndrome de encefalopatía reversible posterior leve, 6 de las 23 con síndrome de encefalopatía reversible posterior moderado y 2 con síndrome de encefalopatía reversible posterior severo. Las alteraciones sensoriales y visuales, el estatus epiléptico y la elevación de la creatinina, ácido úrico y deshidrogenasa láctica se asociaron con alteraciones en la resonancia magnética nuclear. La creatinina sérica, ácido úrico y deshidrogenasa láctica alterados se asociaron con síndrome de encefalopatía reversible posterior de moderado a severo. Estos hallazgos se relacionaron con peor pronóstico y mayor mortalidad. 6

Otros hallazgos más graves que se encuentran en mujeres con síndrome de encefalopatía reversible posterior incluyen: hemorragia incluso en 15% de los casos. 12 Hefzy y colaboradores encontraron 3 tipos de hemorragias principales: microhemorragias, hemorragias intraparenquimatosas y subaracnoidea con la misma frecuencia cada una. 13

Brewer y su grupo encontraron síndrome de encefalopatía reversible posterior en 97.9% de las pacientes con eclampsia, con 1 o más estudios de imagen. Notaron síndrome de encefalopatía reversible posterior en 87.2% en mujeres con resonancia magnética nuclear sin contraste. 14El hecho de que el síndrome sea un hallazgo tan común en mujeres con eclampsia sugiere que es un componente esencial de la patogénesis de la eclampsia y los casos de mujeres con eclampsia sin alteraciones en la resonancia magnética nuclear pudieran ser explicados por una corta duración. 9 Las mujeres con eclampsia sin cambios en la resonancia magnética nuclear tienen un curso más benigno, con menor cefalea y alteraciones visuales. Ninguna de ellas tuvo estatus epiléptico o falleció. 6

Las mujeres que culminan en eclampsia tienen un espectro muy amplio de signos y síntomas que varía desde hipertensión severa con proteinuria hasta pacientes sin hipertensión. Algunos estudios han demostrado que 40% de las mujeres con convulsiones tienen tensión arterial normal sin proteinuria, lo que sugiere que la preeclampsia “clínica” no es, necesariamente, una condición que preceda a la eclampsia. 5

El síndrome de encefalopatía reversible posterior puede ocurrir sin hipertensión, causado en estos casos por disfunción endotelial directa que implica aumento de la permeabilidad de la barrera hematoencefálica, que es la responsable de la extravasación del flujo hacia el parénquima. 6 Otras causas de síndrome de encefalopatía reversible posterior no asociadas con la eclampsia incluyen: tratamientos con inmunosupresores, quimioterapia, insuficiencia renal, enfermedades del tejido conectivo, púrpura trombótica trombocitopénica, infecciones (virus de la inmunodeficiencia humana), porfiria, antecedente de trasplante de órganos y choque. 6,15

La preeclampsia también es un factor de riesgo independiente de evento vascular cerebral, con incidencia de 8% e isquémico en aproximadamente 60%. El riesgo pudiera ser secundario a la hipertensión, lesión endotelial, disfunción plaquetaria y trombofilia asociada con el embarazo. 7

El estatus epiléptico en las embarazadas también puede deberse a diversas causas que deben indagarse. Rajiv y colaboradores llevaron a cabo un estudio con 17 embarazadas en estatus epiléptico. De ellas, 15 evolucionaron a la forma aguda, 4 tenían eclampsia, 6 síndrome de encefalopatía reversible posterior secundario a otras causas que no eran eclampsia, 3 trombosis venosa cortical, 1 hemorragia subaracnoidea y 1 encefalitis por anticuerpos contra el receptor NMDA. Concluyeron que a pesar de que la eclampsia es la presunta causa en la mayoría de los casos de estatus epiléptico en el embarazo, deben sospecharse otras causas. Destacan 6 casos de síndrome de encefalopatía reversible posterior no originados por la eclampsia. 8

Debido a que la definición de eclampsia, según el American College Obstetrics and Gynecology (ACOG), incluye descartar otras causas de crisis convulsivas16 se propone un algoritmo diagnóstico (Figura 6) donde los estudios de imagen pueden ayudar a establecer la causa precisa de las convulsiones y, así, poder indicar el tratamiento óptimo, sin solicitar estudios de forma indiscriminada.

Resonancia magnética nuclear, PRES: síndrome de encefalopatía reversible posterior.

Figura 6 Algoritmo diagnóstico de crisis convulsivas en pacientes con preeclampsia. 

Ante una crisis convulsiva en una mujer con preeclampsia se sugiere la búsqueda de datos de alarma (alteraciones sensoriales y visuales, estatus epiléptico, elevación de creatinina, ácido úrico y deshidrogenasa láctica, y datos de focalización neurológica). Según Junewar y sus coautores estos datos se asocian con alteraciones en la resonancia magnética nuclear y síndrome de encefalopatía reversible posterior de moderado a severo. 6 En caso de coexistencia de alguno de estos se solicita una TAC para descartar eventos hemorrágicos. Luego de descartarlos, el siguiente paso es la resonancia magnética nuclear, donde aparece la presunta causa de la crisis convulsiva. Si no fuera así, se repite la resonancia pero con contraste aumentando para detectar un probable síndrome de encefalopatía reversible posterior. Brewer y colaboradores encontraron mayor porcentaje de síndrome de encefalopatía reversible posterior en pacientes a quienes se administró medio de contraste. 14 Si no hay hallazgos entonces la sospecha es de alteraciones metabólicas o epilepsia. El algoritmo se detiene al encontrar la causa de las crisis convulsivas y administrar el tratamiento específico.

De acuerdo con De la Torre-León y colaboradores son importantes los estudios de imagen para establecer el diagnóstico, con la finalidad de identificar y diferenciar, tempranamente, otras lesiones neurológicas y, así, indicar el tratamiento específico que permita mejorar el pronóstico. 1,7

CONCLUSIÓN

Las convulsiones durante el embarazo y puerperio en mujeres con preeclampsia son un reto diagnóstico porque pueden tener un comportamiento benigno, como el síndrome de encefalopatía reversible posterior, secundario a eclampsia o ser potencialmente mortales, como el evento vascular cerebral hemorrágico.

La principal indicación de estudios de imagen es la sospecha clínica de otras causas de convulsiones. Ante alteraciones sensoriales y visuales, estatus epiléptico, elevación de la creatinina, ácido úrico y deshidrogenasa láctica, así como datos de focalización neurológica deben solicitarse estudios de neuroimagen. La indicación secuencial de estos estudios puede ayudar a determinar la causa final de las convulsiones en casos atípicos, como se señala en el algoritmo diagnóstico propuesto.

REFERENCIAS

1. Johnson AC, Cipolla MJ. The cerebral circulation during pregnancy: Adapting to preserve normalcy. Physiology 2015; 30 (2): 139-47. doi: 10.1152/physiol.00048.2014. [ Links ]

2. Zack M, Kobau R. National and state estimates of the numbers of adults and children with active epilepsy United States, 2015. Morb Mortal Wkly Rep 2017; 66 (31): 821-25. doi: 10.15585/mmwr.mm6631a1. [ Links ]

3. Bollig KJ, Jackson DL. Seizures in pregnancy. Obstet Gynecol Clin N Am 2018; 45 (2): 349-67. doi: 10.1016/j.ogc.2018.02.001. [ Links ]

4. Beach RL, Kaplany PW. Seizures in pregnancy: Diagnosis and management. International Review of Neurobiology 2008 (83): 259-71. doi: 10.1016/S0074-7742(08)00015-9. [ Links ]

5. Cipolla MJ, Kraig RP. Seizures in women with preeclampsia: Mechanisms and managment. Fetal Matern Med Rev 2011; 22 (2): 91-108. doi: 10.1017/S0965539511000040. [ Links ]

6. Junewar V, et al. Neuroimaging features and predictors of outcome in eclamptic encephalopathy: A prospective observational study. Am J Neuroradiol 2014; 35 (9): 1728-34. doi: 10.3174/ajnr.A3923. [ Links ]

7. Sells CM, Feske SK. Stroke in pregnancy. Semin Neurol 2017; 37 (6): 669-78. doi: 10.1055/s-0037-1608940. [ Links ]

8. Rajiv KR, Radhakrishnan A. Status epilepticus in pregnancy: Etiology, management, and clinical outcomes. Epilepsy Behav 2017 (76): 114-19 doi: 10.1016/j.yebeh.2017.07.002. [ Links ]

9. Bartynski WS, Boardman JF. Distinct imaging patterns and lesion distribution in posterior reversible encephalopathy syndrome. Am J Neuroradiol 2007; 28 (7): 1320-27. doi: 10.3174/ajnr.A0549. [ Links ]

10. Schwartz RB, et al. Preeclampsia-eclampsia: clinical and neuroradiographic correlates and insights into the pathogenesis of hypertensive encephalopathy. Radiology 2000; 217 (2): 371-76. doi: 10.1148/radiology.217.2.r00nv44371. [ Links ]

11. McKinney AM, et al. Posterior reversible encephalopathy syndrome: incidence of atypical regions of involvement and imaging findings. Am J Roentgenol 2007; 189 (4): 904-12. doi: 10.2214/AJR.07.2024. [ Links ]

12. Bartynski WS. Posterior reversible encephalopathy syndrome. Part I Fundamental imaging and clinical features. Am J Neuroradiol 2008; 29 (6): 1036-42. doi: 10.3174/ajnr.A0928. [ Links ]

13. Hefzy HM, et al. Hemorrhage in posterior reversible encephalopathy syndrome: imaging and clinical features. Am J Neuroradiol 2009; 30 (7): 1371-79. doi: 10.3174/ajnr.A1588. [ Links ]

14. Brewer J, et al. Posterior reversible encephalopathy syndrome in 46 of 47 patients with eclampsia. Am J Obstet Gynecol 2013; 208: 468.e1-6. doi:10.1016/j.ajog.2013.02.015. [ Links ]

15. Fischer M, Schmutzhard E. Posterior reversible encephalopathy syndrome. J Neurol 2017; 264 (8): 1608-16. doi: 10.1007/s00415-016-8377-8. [ Links ]

16. ACOG Practice Bulletin No. 202: Gestational Hypertension and Preeclampsia. Obstet Gynecol 2019;133(1):e1-e25. doi: 10.1097/AOG.0000000000003018. [ Links ]

17. De la Torre León T, et al. Encefalopatía posterior reversible durante el puerperio, secundaria a eclampsia. Reporte de dos casos. Ginecol Obstet Mex. 2018; 86(12):815-822. doi: 10.24245/gom.v86i12.2343. [ Links ]

Este artículo debe citarse como Urquiza y Conde F, Hernández-Pacheco JA. Estudios de imagen cerebral en el diagnóstico diferencial de enfermedades hipertensivas del embarazo y convulsiones. Reporte de dos casos. Ginecol Obstet Mex. 2020 abril;88(4):261-270. https://doi.org/10.24245/gom.v88i4.3630

Recibido: Octubre de 2019; Aprobado: Diciembre de 2019

Correspondencia Fernando Urquiza y Conde furquiza91@gmail.com

Creative Commons License Este es un artículo publicado en acceso abierto bajo una licencia Creative Commons