Introduction
Normally there is approximately 1-10 mL of fluid in the pleural space. This fluid is constantly produced and reabsorbed, and the amount of fluid is maintained by a balance between oncotic and hydrostatic pressure of the parietal and visceral pleura. Disruption in this balance causes the fluid to accumulate in the cavity.1
Pleural effusion is caused by an imbalance between oncotic and hydrostatic pressure through the visceral and parietal pleura, an increased permeability, or reduced absorption. It can occur as a result of lung parenchymal disease, infection, malignancy, and inflammatory processes. There are other factors that contribute to the accumulation of pleural fluid in the critical care setting, such as volume overload, renal or hepatic failure, myocardial depression, hypoalbuminemia, infections, and malnutrition.2 In the postoperative period of cardiac surgery, pleural effusions, especially those that require a secondary drainage procedure during recovery, are associated with significantly worse outcomes including increased mortality, longer in-hospital stay, and higher complication rates. Of patients undergoing coronary artery bypass grafting or heart valve surgery, between 41% and 89% develop pleural effusions in the first seven days after surgery and 10% develop a pleural effusion occupying more than 25% of the hemithorax in the subsequent month. Causes of pleural effusions after cardiac surgery include diaphragm dysfunction, internal mammary artery harvesting (only in internal mammary artery grafting), and other perioperative complications (e.g., sepsis, congestive heart failure, pulmonary embolism, and chylothorax).3
There are various imaging methods to evaluate the lung, pleura, and pleural cavity. While the presence of a pleural effusion is frequently suspected from a chest X-ray, it does not allow the detection of other fluid characteristics or its quantification. Characteristics such as localization, thickening, or fibrosis usually need characterization by axial computed tomography. Ultrasound at the patient’s bedside allows for the diagnosis of pleural effusion in various hospital settings (due to its portability, low cost, absence of radiation, and short examination time), enabling the quantification of pleural fluid, determination of some characteristics of the effusion, and guidance for drainage by thoracocentesis or tube thoracostomy, thus improving the success rate of the procedures by up to 97%. Ultrasonographic diagnosis requires the identification of fluid in the pleural space with the typical anechoic (black) image between the diaphragm and the chest wall, which allows even small amounts of fluid to be identified.4,5
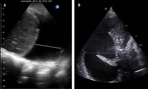
Regarding the etiology of the pleural effusion, ultrasound does not allow sufficient discrimination in the different etiologies and the compositions of the effusion. The sonomorphological characteristics may vary depending on its nature, cause, and chronicity. The appearance of the pleural fluid can be divided into four patterns: (1) anechoic (Figure 1A), (2) non-septated complex (defined by the presence of particles within the pleural fluid) (Figure 1B), (3) septated complex (defined by the presence of septa and fibrin in the pleural fluid) (Figure 1C), and (4) homogeneously echogenic («bright» pleural effusion) (Figure 1D), the last being the most common in hemothorax and empiema.6

Figure 1: A) Anechoic pleural effusion, suggesting transudate. B) Non-septated complex pleural effusion. C) Septated complex pleural effusion. D) Homogeneously echogenic pleural effusion. B-D) Correspond to exudate.
Importance
In chest X-ray, the accuracy to quantify the volume of the effusion is limited. Ultrasound allows for the detection of volume from 5 mL and volume quantification. Some formulas have been described for the quantitation of the effusion.7,8 Balik’s method found a significant positive correlation between the volume quantitation and the drained measurement. In addition to the quantitation of the effusion volume, Balik’s method also allowed decision making regarding the realization of the therapeutic drainage, with success in guiding thoracentesis of 100% and no complications such as pneumothorax or bleeding reported.9
Investigation goals
Our primary goal was to determine the correlation between the amount of pleural fluid quantified by ultrasonography using Balik’s formula and the amount of fluid drained in the postoperative period of cardiac surgery. Our secondary objective was to determine the diagnostic accuracy of the ultrasonographic characteristics of the fluid to classify it as transudate or exudate.
Material and methods
This was a cross-sectional study of 26 nonconsecutive adult patients who were admitted to the critical care unit at the Instituto Nacional de Cardiología Ignacio Chávez in Mexico City, Mexico, from 1 May to 30 October 2021, following cardiac surgery, in whom ultrasonographic evaluation was conducted upon arrival in postoperative critical care. For the ultrasonographic evaluation, operator-obtained images were generated using a phased array sector probe at 2-3 MHz, from the patient’s right or left side, with sonographic equipment including the following modes: M-mode, 2D mode, color Doppler, pulsed wave Doppler, continuous wave Doppler, and tissue Doppler. The use of sonographic equipment with advanced software technology was not necessary. With the patient in a mild torso elevation of 15o, the transducer was placed at the PLAPS point (intersection between the posterior axillary line and the 7th or 8th intercostal space, slightly above the diaphragm),5 with the probe marker pointing toward the patient’s head. The diaphragm, liver, and spleen had to be clearly visualized (Figure 2). Then, the maximum distance in millimeters was measured between the parietal (from the lung inferior border) and visceral (to the inferior border of the diaphragm) pleura at maximum inspiration (Figure 3) using the formula: volume = 20 × separation (in millimeters).

Figure 2: A) Position of the ultrasound probe at the patient’s right or left side. B) Probe marker pointing toward the patient’s head.

Figure 3: The measurement is made from the lower border of the lung (parietal pleura) to the abdominal structure (visceral pleura). A) Anechoic pleural effusion. B) Non-septated complex pleural effusion.
Then, the pleural effusion was classified by ultrasonography as:
Transudate (anechoic) or
Exudate (non-septated complex, septated complex, and homogeneously echogenic).
Images were processed and analyzed after acquisition. One physician (a critical care physician with training in critical care ultrasonography) acquired the images, and the images were then processed and measured by three different physicians (clinical cardiologists, DMS, EGC, and ELD with training in echocardiography) using imaging software. We reduced bias by blinding the person who analyzed, processed, and measured the images.
The thoracic tubes were placed by the cardiothoracic surgery service after performing the ultrasound making, without real-time guide, using Argyle TM Thoracic Catheters of 32 Fr when the effusion was echogenic or complex, and Blake drains (usually 24 Fr), when the effusion was anechoic.
The biochemical analysis of the fluid was performed to classify the pleural effusion as exudate according to Light’s criteria:10
The ratio of pleural fluid protein to serum protein is greater than 0.5.
The ratio of pleural fluid lactate dehydrogenase (LDH) and serum LDH is greater than 0.6.
Pleural fluid LDH is greater than 0.6 or 2/3 times the normal upper limit for serum.
Statistical analysis
We performed the Shapiro-Wilk test of normality for continuous variables and reported these as a median and interquartile range because all were nonparametric. Comparisons of continuous variables were made using the Kruskal-Wallis test. We report categorical variables as frequencies and percentages and used χ2 or Fisher’s exact probability tests, as appropriate, to compare expected values. We used Pearson’s correlation coefficient to calculate correlation coefficients, with the following r value strength categories: 0.1-0.29 = weak, 0.3-0.49 = medium, and 0.50-1.0 = strong. We used 2 × 2 Tables to calculate sensitivity, specificity, predictive values, and likelihood ratios. Statistical analyses were performed using STATA v. 14, and p < 0.05 was considered statistically significant.
Results
Demographic and surgical characteristics
Most patients were males (65%) with a mean age of 55 years (range 45-64 years). The most frequent comorbidities were heart failure (65.4%), hypertension (34.6%), and history of myocardial infarction (23.1%). The median of the left ventricular ejection fraction was 45%. The most frequently used drugs in the preoperative period were beta-blockers, anticoagulants, statins, antiplatelet drugs, diuretics, angiotensin-converting enzyme inhibitors, and angiotensin II receptor antagonists (Table 1). The most frequent surgery was aortic valve replacement in 34.6%, followed by coronary artery bypass graft surgery in 15.4% with a mean extracorporeal circulation time of 157 minutes and aortic clamping of 107 minutes (Table 2).
Table 1: Baseline characteristics.
| Variable | n (%) |
|---|---|
| Age (years), median [IQR] | 55 [45-64] |
| LVEF (%), median [IQR] | 45 [32-54] |
| Gender Men Women |
17 (65.4) 9 (34.6) |
| Body mass index Underweight Normal range Overweight Obese class I Obese class III |
2 (7.7) 10 (38.5) 7 (26.9) 6 (23.1) 1 (3.8) |
| Heart failure Hypertension Prior myocardial infarction Dyslipidemia Diabetes Stroke Chronic obstructive pulmonary disease Chronic renal disease Peripheral vascular disease |
17 (65.4) 9 (34.6) 6 (23.1) 4 (15.4) 4 (15.4) 3 (11.5) 1 (3.8) 1 (3.8) 1 (3.8) |
| Prior medication Beta-blockers Anticoagulants Statins Diuretics |
11 (42.3) 10 (38.5) 10 (38.5) 9 (34.6) |
| Antiplatelet drugs Angiotensin-converting enzyme inhibitors Angiotensin II receptor antagonists Aldosterone antagonists Oral hypoglycemic drugs Calcium channel blockers Cardiac glycoside Amiodarone Levothyroxine Allopurinol |
8 (30.8) 7 (26.9) 6 (23.1) 4 (15.4) 3 (11.5) 3 (11.5) 2 (7.7) 2 (7.7) 1 (3.8) 1 (3.8) |
LVEF = left ventricular ejection fraction. IQR = interquartile range.
Table 2: Surgical characteristics.
| Variable | n (%) |
|---|---|
| Surgery Aortic valve replacement Coronary artery bypass graft Coronary artery bypass graft + aortic valve replacement Mitral valve replacement Mitral valve replacement + aortic valve replacement Coronary artery bypass graft + mitroaortic valve replacement Coronary artery bypass graft + mitral valve replacement |
9 (34.6) 4 (15.4) 3 (11.5) 2 (7.7) 2 (7.7) 2 (7.7) 1 (3.8) |
| Extracorporeal circulation time (min), median [IQR] Aortic clamping (min), median [IQR] |
157 [110-214] 107 [89-147] |
IQR = interquartile range.
Characteristics of pleural effusion
The median volume quantified by ultrasound was 600 mL, and the median volume drained was 550 mL. There was a strong positive correlation (r = 0.67, p < 0.0001). Of the total number of patients, pleural effusion was classified as transudate by ultrasonography in 15 patients (57.7%) and by Light’s criteria in 16 patients (61.5%). The most frequent drainage method was tube thoracostomy (84.6%), being more frequent on the left side (53.8%) (Table 3). When the diagnostic test evaluation for the presence of transudate vs. exudate by ultrasound was performed and compared with Light’s criteria, the sensitivity and specificity were 81.25% and 80%, respectively. There was a positive predictive value of 86.66%, a negative predictive value of 72.73%, and a positive likelihood ratio of 4 (Table 4).
Table 3: Characteristics of pleural effusion.
| Variable | n (%) |
|---|---|
| Ultrasonographic classification Transudate Exudate |
15 (57.7) 11 (42.3) |
| Light’s criteria classification Transudate Exudate |
16 (61.5) 10 (38.5) |
| Drainage method Thoracentesis Thoracic tube |
4 (15.4) 22 (84.6) |
| Localization Left lung Right lung |
14 (53.8) 12 (46.2) |
| Ultrasonically quantified volume (mL), median [IQR] Drained volume (mL), median [IQR] |
600 [400-800] 550 [440-800] |
IQR = interquartile range.
Table 4: Diagnostic test evaluation for the diagnosis of transudate vs exudate by ultrasound.
| Light’s criteria | Total n (%) |
||
|---|---|---|---|
| Transudate n (%) |
Exudate n (%) |
||
| Ultrasound Transudate Exudate Total |
13 (81.2) 3 (18.7) 16 (100.0) |
2 (20.0) 8 (80.0) 10 (100.0) |
15 (57.7) 11 (42.3) 26 (100.0) |
| Diagnostic test evaluation Sensitivity Specificity PPV NPV LR + LR - Accuracy |
81.25% 80.00% 86.66% 72.73% 4.06 0.23 80.77 |
||
PPV = positive predictive value. NPV = negative predictive value. LR = likelihood ratio.
Discussion
Pleural effusion occurs frequently in patients admitted to intensive care units and varies according to the technique used, from 8% with physical examination to 60% using imaging techniques. Early drainage of clinically significant pleural effusion is associated with improved oxygenation and diagnostic accuracy without increased complications.11 In postoperative cardiac surgery patients, pleural effusion can cause atelectasis, increased risk of pneumonia and empyema, arrhythmias (such as atrial fibrillation), prolonged in-hospital stay, need for hemodialysis, and higher mortality.3 Modifiable associated factors in the management of drains that may contribute to the accumulation of pleural effusion include early removal of chest drains, higher outputs, and removal during or close to mechanical ventilation.12 Risk factors that have been identified include being female and previous conditions such as heart failure, atrial fibrillation, peripheral vascular disease, and prior use of anticoagulant or antiarrhythmic agents.13 In addition, dedicated follow-up and treatment of postoperative effusions enhance recovery by 15% measured by improvement in the distance walked one month after cardiac surgery.14
In our study, most of the population was male, with a median age of 55 years. The majority of the patients had a history of heart failure, followed by hypertension and myocardial infarction, which suggests that these patients could have a greater probability of presenting pleural effusion in the postoperative period due to increased hydrostatic pressure.
Among the drugs administered to our patients, a higher proportion of patients were taking anticoagulants and antiplatelet drugs, which could also contribute to the development of pleural effusion. Regarding surgical variables, the median extracorporeal circulation time was 157 minutes, and the aortic clamping time was 107 minutes, which suggest that prolonged extracorporeal circulation pump and aortic clamping times (> 100 minutes) may be a risk factor for developing pleural effusion due to increased bleeding.
The median volume measured by ultrasonography was 600 mL, and one evacuate was 550 mL. When the correlation was determined between the measurement performed by ultrasound using Balik’s formula and the volume of liquid drained, there was a strong positive correlation. In the only previous study evaluating the estimation of volume by ultrasound in the postoperative period of cardiac surgery, the maximal distance between mid-height of the diaphragm and visceral pleura, using the formula volume = 16 × separation (in millimeters), was used, and the authors found a significant positive correlation between the volume estimated and the volume drained. The ultrasonographic characteristics of the effusion were not described.15
Although there are studies that have previously compared formulas for the quantitation of pleural effusion, the equation used by us and proposed by Balik et al.9 is validated for mechanically ventilated patients in a supine position and with a mild torso elevation of 15o. This is the position in which we usually find our patients in the intensive care unit in the immediate period after cardiac surgery, so we think it is more adequate in this population.
When the characteristics of the pleural effusion were evaluated by ultrasonography, we found that 57% corresponded to transudates and the rest to exudates, according to the echogenicity of the effusion. When the fluid was evacuated, the type of effusion was corroborated by Light’s criteria. A total of 61% corresponded to transudate.
Yang et al. evaluated a cohort of 320 patients with pleural effusion, finding high sensitivity, but poor specificity of anechoic effusions for transudative effusions.16 In a cohort of 126 patients with transudative pleural effusions, Chen et al. found that an anechoic pattern was present in 45% (57/127), while a complex non-septated pattern was seen in 55% (70/127); transudative fluid was never complex septated or homogeneously echogenic.17 A recent evaluation of 300 pleural effusions in 285 patients demonstrated that the detection of septations or homogenous complexity was 94% specific and carried a 96% positive predictive value for exudative fluid. Furthermore, anechoic fluid did not reliably predict the presence of transudative fluid.18 Regarding the analysis of the characteristics of the fluid by ultrasound, in our series, high sensitivity, positive predictive value, and positive likelihood ratio (81.25%, 86.66%, and 4.06, respectively) stood out. It is important to mention that this is the first time that these findings have been evaluated in postoperative cardiac surgery patients who had an increased risk of transudate due to increased hydrostatic pressure.
Regarding the exudates, when a septated complex and homogeneously echogenic pleural effusion was identified by ultrasound, it always corresponded to exudate according to Light’s criteria.
Complications associated with chest tube placement are reported in the medical literature in up to 40% of cases.19 In 22 of the patients of our study (84%), the effusion was evacuated by placing a thoracic tube without complications. The complications that occurred were: one patient with tube malposition, one patient with minor bleeding from the insertion site, one patient with insertion site infection, and one patient with re-expansion pulmonary edema.
In up to 84% of the patients, the effusion was evacuated by placing a thoracic tube without complications, even though complications associated with the placement of a chest tube are reported in 20-30% of cases. The most frequent location of pleural effusion was on the left side in up to 53% of cases, as previously reported,19 which suggests that the anatomical relationship of the heart with the left pleura could be a factor in the patients who presented with a greater effusion on the left side.
Study limitations
This study was conducted at a single medical center and should be replicated at other centers to assess the protocol’s reproducibility. In addition, study outcomes should be interpreted with caution due to the small sample size and because it was performed in a specific subpopulation (postoperative cardiac surgery patients). Thus, the findings may not generalize to all critical care patients. Finally, given that the study was conducted in a cardiovascular critical care unit, where point-of-care ultrasonography evaluation is routine, adequate training is necessary before applying these techniques.
Conclusion
We found a strong positive correlation between the volume of pleural effusion quantified with Balik’s formula by ultrasound and the volume drained in postoperative cardiac surgery patients. We also found an adequate diagnostic accuracy of the ultrasound in the identification of the type of effusion compared with Light’s criteria.










nueva página del texto (beta)


