
INTRODUCCIÓN
La incidencia del cáncer papilar de tiroides (CPT) en Estados Unidos ha aumentado de 1975 a 2016 de 4.8 a 14.5 por cada 100,000 habitantes según cifras del Surveillance, Epidemiology, and End Results Program (SEER) del National Cancer Institute1. Existen otros reportes globales que de igual forma indican un aumento en la incidencia de CPT de 1973 al 20022. Algunos expertos sugieren que este incremento es debido al mayor uso del ultrasonido (US) y la biopsia por aspiración con aguja fina (BAAF). Sin embargo, el aumento en mortalidad basada en incidencia de 0.40 a 0.46 por cada 100,000 personas-años entre 1974 y 2013 nos indica un incremento verdadero en la incidencia del CPT3. El US es una herramienta efectiva (figura 1) para predecir la probabilidad de malignidad en la tiroides en base a ciertas características ya establecidas como la forma, bordes, ecogenicidad, extensión extratiroidea y microcalcificaciones4,5. Todas las características y clasificaciones actuales están basadas en la presencia de nódulos tiroideos; sin embargo, se ha descrito que hasta el 2% del CPT se pueden presentar como microcalcificaciones (ecos puntiformes) en ausencia de nódulos6,7.
PRESENTACIÓN DEL CASO
Mujer de 17 años que se presenta a consulta por una masa palpable en la región anterior derecha del cuello de 3 meses de evolución. Su historia clínica no revela algún otro signo o síntoma y no refiere antecedentes familiares de cáncer. A la exploración física se palpa una masa fija y sin dolor a la manipulación, superficial al músculo esternocleidomastoideo derecho y a la altura del borde inferior del cartílago tiroides, a la exploración de la glándula tiroides no se identifican masas o lesiones nodulares, su tamaño y localización es normal. Se decide realizar ultrasonido (US) de cuello para caracterizar la lesión.
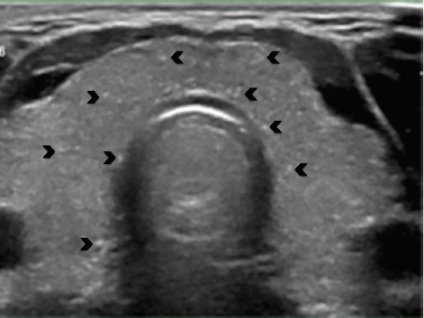
En el US de cuello la glándula tiroides es de situación normal y sus bordes son regulares y bien definidos, el lóbulo derecho tiene medidas de 16 × 13 × 41 mm en sus ejes anteroposterior, transversal y longitudinal respectivamente, el lóbulo izquierdo mide 16 × 16 × 47 mm en los mismos ejes, con un volumen tiroideo total de 10.6 ml, en el parénquima tiroideo del lóbulo izquierdo se identifica una imagen nodular sólida, hipoecoica (figura 2), más ancha que alta, de bordes mal definidos y sin extensión extratiroidea, con múltiples ecos puntiformes en su interior y con diámetro máximo de 6 mm, el cual se clasifica como TI-RADS 5 según los criterios del Colegio Americano de Radiología (ACR)5. También se identificaron múltiples ecos puntiformes de distribución difusa en ambos lóbulos tiroideos (figura 3), el resto del parénquima se observa sin alteraciones.

Foto: Otorgada por los autores
Figura 2 Nódulo tiroideo de 6 mm en el borde posterior del lóbulo izquierdo TI-RADS ٥ (flecha). Además, se observan ecos puntiformes en el parénquima (cabezas de flecha).

Figura 3 Ecos puntiformes de distribución difusa en un parénquima tiroideo normal (puntas de flecha).
Además, la masa palpable se localiza en el nivel ganglionar III derecho, la cual se visualiza como un ganglio linfático de 27 mm con morfología globular, con componente quístico y sólido, pérdida del hilio ecogénico y flujo periférico (figura 4), en el nivel III izquierdo se identificaron otros 2 ganglios con morfología ovoide, componente mixto y ecos puntiformes en su interior.

Figura 4 Ganglio linfático de 27 mm en el nivel III derecho con una parte quística (*) y otra sólida (S), además de pérdida del hilio graso normal, hallazgos que sugieren etiología maligna.
Posteriormente se programa a la paciente para biopsia abierta del ganglio con patología transoperatoria, la cual reveló metástasis de CPT, por lo que se decide realizar tiroidectomía total y linfadenectomía bilateral.
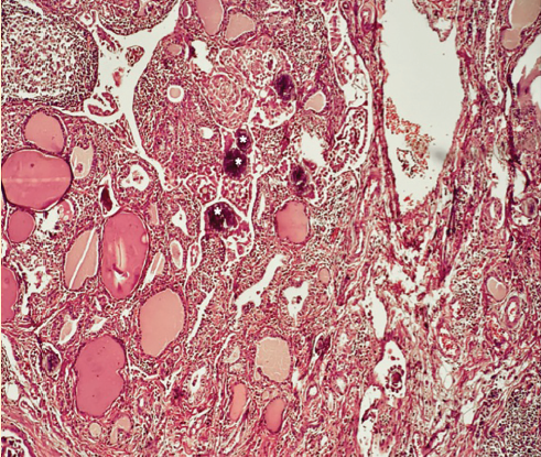
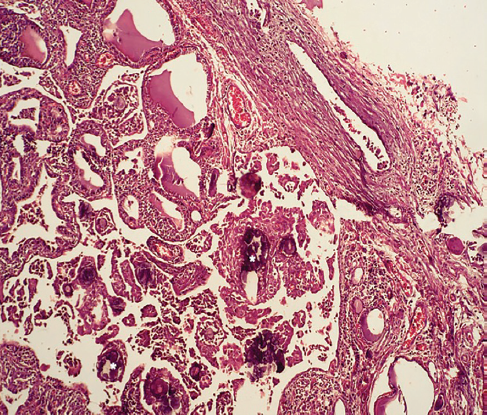
El reporte final de patología reveló formación difusa de folículos y papilas con cambios nucleares y abundantes cuerpos de psammoma en ambos lóbulos sin una cápsula identificable (figura 5), además de un nódulo de 5 mm en el lóbulo izquierdo con las mismas características, pero con formación de cápsula (figura 6).

Figura 5 Parénquima tiroideo con formación de folículos y papilas con cambios nucleares de CPT y abundantes cuerpos de psammoma (*).

Foto: Otorgada por los autores
Figura 6 Nódulo izquierdo de CPT con permeación vascular y abundantes cuerpos de psammoma (*).
De acuerdo a la clasificación de la Organización Mundial de la Salud (OMS) de tumores de órganos endocrinos6, estos hallazgos cumplen criterios7 para un cáncer papilar de tiroides encapsulado en el caso del nódulo izquierdo; sin embargo, los hallazgos del resto del parénquima tiroideo no cumplen criterios para el tipo difuso (esclerosante difusa) utilizado por la OMS, por lo que se reportó únicamente como CPT no encapsulado. Los ganglios linfáticos se reportan con cambios por enfermedad metastásica de CPT.
DISCUSIÓN
Las microcalcificaciones se definen como ecos brillantes puntiformes finos sin sombra acústica8, los cuales tienen una correlación importante con el CPT9,10, Shi et al11 reportan una incidencia de cáncer de 96.5% cuando se identifican microcalcificaciones en los nódulos tiroideos. Estos ecos puntiformes se correlacionan en patología con los cuerpos de psammoma, los cuales se caracterizan por un proceso de calcificación distrófica con depósitos locales en tejido no viable con un calcio sérico normal. Los cuerpos de psammoma se identifican bajo el microscopio como estructuras calcificadas lamelares concéntricas que se presentan más frecuentemente en CPT, meningiomas y cistoadenocarcinoma papilar seroso de ovario12. Otra causa de ecos puntiformes en US son las calcificaciones distróficas características de la tiroiditis crónica. Whittle, et al.8 reportaron que 63% de los pacientes con microcalcificaciones difusas tuvieron CPT; cabe mencionar que 95% de sus pacientes presentaron un parénquima tiroideo heterogéneo sugestivo de tiroiditis crónica. Por lo tanto, un parénquima normal con ecos puntiformes difusos, como en el caso actual, debe obligar al clínico a realizar una BAAF con la sospecha de que estas representan la presencia de cuerpos de psammoma del CPT. Nuestro paciente presentó características típicas de CPT tanto por ultrasonido (microcalcificaciones) como por patología, lo particular del caso es la distribución difusa de las microcalcificaciones con ausencia de cápsula, hallazgos que no son descritos en la clasificación de la OMS6 y representa una variante del CPT convencional con algunos reportes de casos en la literatura8,10,13, en estos reportes se habla de un pronóstico similar a pacientes con CPT encapsulado dependiendo del estadio de presentación del mismo.
Con los hallazgos descritos previamente y por ser menor de 45 años, la paciente presenta un CPT estadio I (T3N1bM0)14. Se cataloga T3 debido al tamaño del tumor que asumimos es mayor a 4 cm debido a la distribución bilateral difusa del cáncer y consideramos que no se encuentra confinado al nódulo de 5 mm del lóbulo izquierdo. La paciente presenta metástasis en ambas cadenas yugulares en el nivel III sin metástasis a distancia por lo que se cataloga como N1b y M0.
En una publicación reciente, Welch y Doherty15, comienzan un debate sobre la preferencia de tiroidectomía total (TT) o lobectomía en pacientes con CPT localizado (< 2 cm de diámetro), empezando por que la relación de las 2 cirugías ha aumentado de 60:40 en 1988 a 80:20 en 2013 a favor de la TT.
Hoy en día, se ha demostrado que el riesgo de muerte por CPT es 2% en 25 años, independientemente del tipo de procedimiento. Los daños adicionales de la TT, tales como lesión del nervio laríngeo recurrente, hipoparatiroidismo y remplazo hormonal de por vida; debe ser tomado en cuenta por los cirujanos para considerar a la lobectomía como el procedimiento de elección en CPT localizado. Según las guías de la ACR (tabla 1), el nódulo tiroideo de nuestro paciente no requería biopsia5, sin embargo, se decidió realizar una biopsia abierta debido a la presencia de ganglios con características malignas. En el escenario de enfermedad no metastásica con un nódulo < 2 cm, se debe descartar la presencia de microcalcificaciones difusas, en especial cuando se considera la lobectomía como opción terapéutica, ya que, en estos casos, el tamaño del tumor va más allá del nódulo y es necesaria la TT para remover la totalidad del cáncer.
Tabla 1 TI-RADS de la ACR
| Composición (escoger 1) |
Ecogenicidad (escoger 1) |
Forma (escoger 1) |
Bordes (escoger 1) |
Focos ecogénicos (escoger todas la que apliquen) |
|||||
|---|---|---|---|---|---|---|---|---|---|
| Puntos | Puntos | Puntos | Puntos | Puntos | |||||
| Quístico o casi completamente quístico | 0 | Anecoico | 0 | Más ancho que alto | 0 | Lisos | 0 | Sin o focos grandes con cola de cometa | 0 |
| Espongiforme | 0 | Hiperecoico o isoecoico | 1 | Más alto que ancho | 3 | Mal definidos | 0 | Macro calcificaciones | 1 |
| Mixto quístico y sólido | 1 | Hipoecoico | 2 | Lobulados o irregulares | 2 | Periféricas (anillo) | 2 | ||
| Sólido o casi completamente sólido | 2 | Muy hipoecoico | 3 | Extensión extra tiroidea | 3 | Focos ecogénicos puntiforme | 3 | ||
| TR 1 | TR 2 | TR 3 | TR 4 | TR 5 |
|---|---|---|---|---|
| 0 puntos | 2 puntos | 3 puntos | 4 a 6 puntos | 7 puntos o más |
| Benigno | No sospechoso | Poco sospechoso | Moderadamente sospechoso | Altamente sospechoso |
| No BAAF | No BAAF | BAAF > 2.5 cm Seguimiento > 1.5 cm | BAAF > 1.5 cm Seguimiento > 1 cm | BAAF > 1 cm Seguimiento > 0.5 cm |
*TR: TI-RADS; BAAF: Biopsia por aspiración con aguja fina.
CONCLUSIONES
Los radiólogos juegan un papel importante en el proceso de toma de decisiones del diagnóstico y tratamiento de pacientes con CPT.
Las microcalcificaciones difusas en la tiroides, especialmente en personas con parénquima sano, deben obligar a tomar una BAAF lo antes posible ya que probablemente representan un CPT difuso con probabilidad de metástasis debido al tamaño del tumor.










nueva página del texto (beta)




